医療法人社団ever

5DENTAL東京銀座

Map Icon
〒104-0061 東京都中央区銀座5-1 GINZA5 2F
Train Icon
東京メトロ銀座駅 C-1出口 直結
東京メトロ日比谷駅 A1口より 徒歩 2分
JR有楽町駅 銀座口より徒歩 4分
当院へのアクセス方法を確認
Arrow Icon
Whitening

ホワイトニング

ホワイトニング

ホワイトニング

ホワイトニングについて

ホワイトニング

歯を白くキレイにする方法(審美歯科)で、第一選択になるのがホワイトニングです。歯を削ったりダメージせずに行える体に優しい審美歯科です。当院ではホワイトニングに力を入れています。当院では高品質で強力なホワイトニング剤を扱っていますので、効果が強く長持ちします

エステやセルフホワイトニングサロンのホワイトニングと違い、歯科医院では特別な薬剤(過酸化水素、過酸化尿素)を扱うことができるので、エナメル質内部の色素タンパクを分解し確実なホワイトニング効果が出せます。

一般的に失活歯(神経のない歯)やテトラサイクリン歯には確実な効果は出しにくいとされていますが、生活歯(神経のある歯)に対してはおよそ確実に歯を白くすることができます。また、当院では失活歯やテトラサイクリン歯のホワイトニングにも実績があります。ホワイトニングは黄色茶色の色素は脱色できます。黒やグレーの色素は改善が難しいのですが、失活歯やテトラサイクリン歯は、ある程度のホワイトニング効果は期待できます。

矯正治療後のホワイトニングも人気です。矯正専門医院で矯正治療後に当院でホワイトニングのみ行いたい患者様も多くいます。

失活歯のブリーチ

失活歯(神経のない歯)のホワイトニングや審美歯科も行っています。失活歯を含めての全体的なホワイトニングも行っています。

ケースによっては失活歯だけの裏側に穴を開けて直接にホワイトニング剤を入れて漂白するインターナルブリーチ(ウォーキングブリーチ)も行っています。

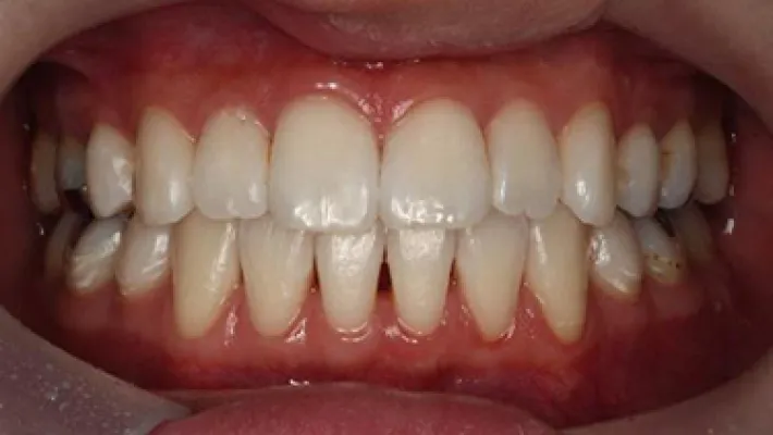
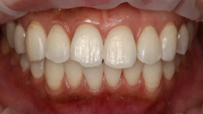
ホワイトニング症例

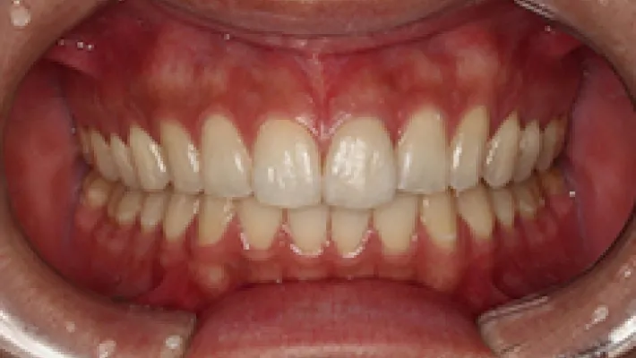
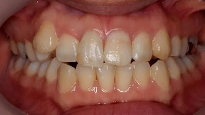
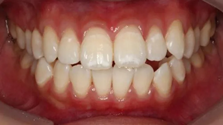
Case1

ホワイトニング施術前 施術前
ホワイトニング施術後 施術後

オレンジがかった黄色の強い色調ですが、黄色系、茶色系の歯はホワイトニングが効きやすいです。ホワイトニングで古いプラスチックの詰め物にしみ込んでしまった色素も取ることができました。

期間は約3週間、オフィスホワイトニング3回とホームホワイトニングを併用しました。

治療の内容
オフィスホワイトニング3回とホームホワイトニングを併用しました。
トータルの治療費用
70,000円(税別)
通院回数や治療期間
通院3回 期間4週間
主なリスクや副作用
ホワイトニング後に痛みがでる場合があります。

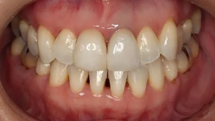
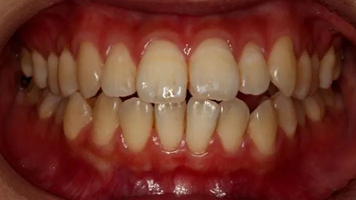
Case2

ホワイトニング施術前 施術前
ホワイトニング施術後 施術後

オレンジがかった黄色の強い色調で、特に上下左右3(犬歯)が濃い色をしていました。ホワイトニングで均一な白い色にキレイにすることができました。

期間は約3週間、オフィスホワイトニング3回とホームホワイトニングを併用しました。

治療の内容
オフィスホワイトニング3回とホームホワイトニングを併用しました。
トータルの治療費用
70,000円(税別)
通院回数や治療期間
通院3回 期間4週間
主なリスクや副作用
ホワイトニング後に痛みがでる場合があります。

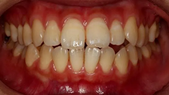
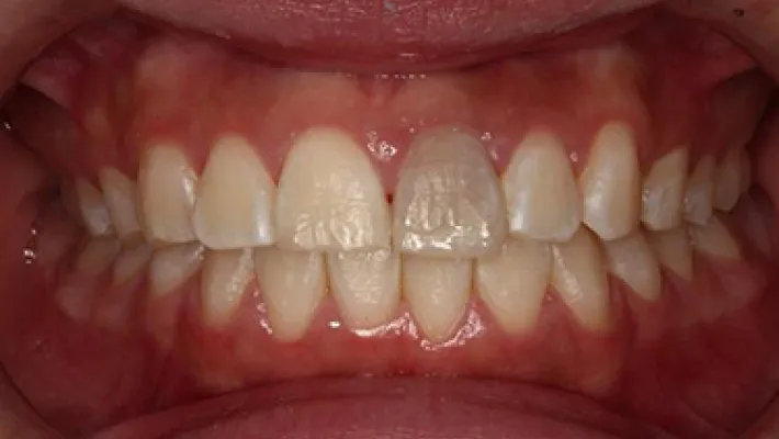
Case3

ホワイトニング施術前 施術前
ホワイトニング施術後 施術後

黄色系で帯状の色ムラがあります。ホワイトスポット(エナメル質の白斑)も見られましたが、全体的に白くなりました。ホワイトニング直後はホワイトスポットが目立つことがあります。

期間は約3週間、オフィスホワイトニング3回とホームホワイトニングを併用しました。

治療の内容
オフィスホワイトニング3回とホームホワイトニングを併用しました。
トータルの治療費用
70,000円(税別)
通院回数や治療期間
通院3回 期間4週間
主なリスクや副作用
ホワイトニング後に痛みがでる場合があります。

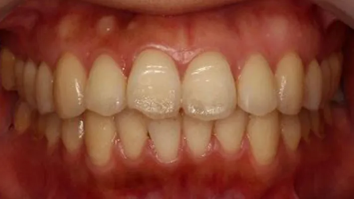
Case4

ホワイトニング施術前 施術前
ホワイトニング施術後 施術後

マウスピース矯正中の方です。矯正治療をすると歯に刺激が加わり、色が濃くなることがあります。

矯正用のマウスピースをホームホワイトニング用のトレーとして使用し、オフィスホワイトニング2回も行いました。

治療の内容
マウスピース矯正中の方です。矯正治療をすると歯に刺激が加わり、色が濃くなることがあります。 矯正用のマウスピースをホームホワイトニング用のトレーとして使用し、オフィスホワイトニング2回も行いました。
トータルの治療費用
35,000円(税別)
通院回数や治療期間
通院2回 期間3週間
主なリスクや副作用
ホワイトニング後に痛みがでる場合があります。

Case5

ホワイトニング施術前 施術前
ホワイトニング施術後 施術後

左上1の失活歯が虫歯で黒く変色し詰め物の中も虫歯になっていました。まずホワイトニングで全体的にしっかりと漂白し、その色調に合わせて左上1の1本をオールセラミッククラウンで治療しました。

*上前歯中央(中切歯)の補綴物は色や形に高い完成度が求められます。色の修正や作り直しで回数をかける場合があります。

治療の内容
左上1の失活歯が虫歯で黒く変色し詰め物の中も虫歯になっていました。まずホワイトニングで全体的にしっかりと漂白し、その色調に合わせて左上1の1本をオールセラミッククラウンで治療しました。
トータルの治療費用
230,000円(税別)
通院回数や治療期間
通院4回 期間7週間
主なリスクや副作用
上前歯中央(中切歯)の補綴物は色や形に高い完成度が求められます。色の修正や作り直しで回数をかける場合があります。

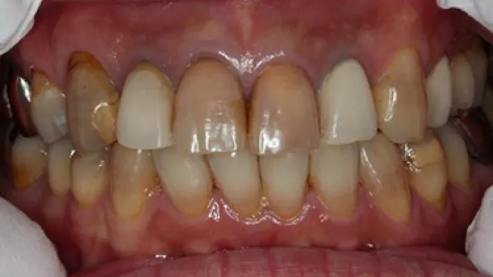
Case6

ホワイトニング施術前 施術前
ホワイトニング施術後 施術後

左上1の失活歯が虫歯で黒く変色し、右上1のプラスチックの詰め物の中も虫歯になっていました。

まずホワイトニングで全体的にしっかりと漂白し、その色調に合わせて左上1と右上1の2本をオールセラミッククラウンで治療しました。

治療の内容
左上1の失活歯が虫歯で黒く変色し、右上1のプラスチックの詰め物の中も虫歯になっていました。まずホワイトニングで全体的にしっかりと漂白し、その色調に合わせて左上1と右上1の2本をオールセラミッククラウンで治療しました。
トータルの治療費用
310,000円(税別)
通院回数や治療期間
通院4回 期間7週間
主なリスクや副作用
上前歯中央(中切歯)の補綴物は色や形に高い完成度が求められます。色の修正や作り直しで回数をかける場合があります。

Case7

ホワイトニング施術前 施術前
ホワイトニング施術後 施術後

左上1の失活歯が虫歯で黒く変色し、右上1のプラスチックの詰め物の中も虫歯になっていました。

まずホワイトニングで全体的にしっかりと漂白し、その色調に合わせて左上1と右上1の2本をオールセラミッククラウンで治療しました。

治療の内容
左上1の失活歯が虫歯で黒く変色し、右上1のプラスチックの詰め物の中も虫歯になっていました。まずホワイトニングで全体的にしっかりと漂白し、その色調に合わせて左上1と右上1の2本をオールセラミッククラウンで治療しました。
トータルの治療費用
310,000円(税別)
通院回数や治療期間
通院4回 期間7週間
主なリスクや副作用
上前歯中央(中切歯)の補綴物は色や形に高い完成度が求められます。色の修正や作り直しで回数をかける場合があります。

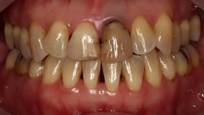
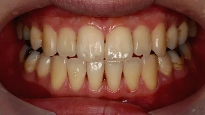
テトラサイクリン歯症例

Case1

テトラサイクリン歯施術前 施術前
テトラサイクリン歯施術後 施術後

全体的なテトラサイクリン歯の症例です。口元から歯が黒く見えてしまうほど重度の方でした。茶色の色素は取れましたが、黒グレーの色素は取れにくいです。

かなり色味が改善されましたので、口元からの印象はかなり改善できました。

*テトラサイクリン歯のホワイトニングには限界がありますが、当院のホワイトニングである程度の改善が可能です。

治療の内容
オフィスホワイトニング3回とホームホワイトニングを併用しました。 全体的なテトラサイクリン歯の症例です。口元から歯が黒く見えてしまうほど重度の方でした。茶色の色素は取れましたが、黒グレーの色素は取れにくいです。 かなり色味が改善されましたので、口元からの印象はかなり改善できました。
トータルの治療費用
70,000円(税別)
通院回数や治療期間
通院3回 期間6週間
主なリスクや副作用
テトラサイクリン歯のホワイトニングには限界がありますが、当院のホワイトニングである程度の改善が可能です。

Case2

テトラサイクリン歯施術前 施術前
テトラサイクリン歯施術後 施術後

テトラサイクリンによる変色歯です。暗色系の縞模様が目立つかなり重度の方でした。かなり色味が改善されましたので、口元の印象はかなり改善できご本人も大変に喜んで下さいました。

期間は約3週間、オフィスホワイトニング3回とホームホワイトニングを併用しました。

*テトラサイクリン歯のホワイトニングには限界がありますが、当院のホワイトニングである程度の改善が可能です。

治療の内容
オフィスホワイトニング3回とホームホワイトニングを併用しました。 テトラサイクリンによる変色歯です。暗色系の縞模様が目立つかなり重度の方でした。かなり色味が改善されましたので、口元の印象はかなり改善できご本人も大変に喜んで下さいました。
トータルの治療費用
70,000円(税別)
通院回数や治療期間
通院3回 期間6週間
主なリスクや副作用
テトラサイクリン歯のホワイトニングには限界がありますが、当院のホワイトニングである程度の改善が可能です。

失活歯ホワイトニング症例

失活歯ホワイトニング施術前 施術前
失活歯ホワイトニング施術後 施術後

左上1の失活歯(神経のない歯)がグレー系に変色をしています。全体的に白くなり、完全ではありませんが左上1も改善されました。ご本人にもご満足頂けました。

*黄色系や茶色系の色にはホワイトニングは効きやすいですが、黒系グレー系の色には効きにくいと言われています。当院のホワイトニングは強力な薬剤を用いているので、ある程度の効果が期待できます。

治療の内容
オフィスホワイトニング3回とホームホワイトニングを併用しました。
左上1の失活歯(神経のない歯)がグレー系に変色をしています。全体的に白くなり、完全ではありませんが左上1も改善されました。ご本人にもご満足頂けました。
トータルの治療費用
70,000円(税別)
通院回数や治療期間
通院3回 期間6週間
主なリスクや副作用
黄色系や茶色系の色にはホワイトニングは効きやすいですが、黒系グレー系の色には効きにくいと言われています。当院のホワイトニングは強力な薬剤を用いているので、ある程度の効果が期待できます。

失活歯インターナルブリーチ(ウォーキングブリーチ)

Case1

インターナルブリーチ施術前 施術前
インターナルブリーチ施術後 施術後

上前歯2本が失活歯で黒色に変色していました。インターナルブリーチを行い色調が改善されました。

*インターナルブリーチは強度と効果が不確実です。リスクを説明したうえでご提案します。

治療の内容
上前歯2本が失活歯で黒色に変色していました。インターナルブリーチを行い色調が改善されました。
トータルの治療費用
24,000円(税別)
通院回数や治療期間
通院4回 期間3ヶ月
主なリスクや副作用
歯の強度にダメージのリスクがある方法です。インターナルブリーチは強度と効果が不確実です。リスクを説明したうえでご提案します。

Case2

インターナルブリーチ施術前 施術前
インターナルブリーチ施術後 施術後

左上1失活歯にインターナルブリーチをしました。

*失活歯インターナルブリーチは周りの歯と同じ色にはならない可能性があります。インターナルブリーチだけはお薦めしていません。通法のホワイトニングを併用が効果的です。

*インターナルブリーチは強度と効果が不確実です。リスクを説明したうえでご提案します。

治療の内容
左上1失活歯にインターナルブリーチを行い色調が改善されました。*失活歯インターナルブリーチは周りの歯と同じ色にはならない可能性があります。インターナルブリーチだけはお薦めしていません。通法のホワイトニングを併用が効果的です。
トータルの治療費用
12,000円(税別)
通院回数や治療期間
通院4回 期間3ヶ月
主なリスクや副作用
歯の強度にダメージのリスクがある方法です。インターナルブリーチは強度と効果が不確実です。リスクを説明したうえでご提案します。

当院で施術可能なホワイトニング

オフィスホワイトニング

オフィスホワイトニング

歯科医院で行っていただく方法です。高品質で強力なホワイトニング剤を使用して、2~3回くらいを目安に歯科衛生士が行います。1週間に1回の来院で行っていきますので、期間は2週間~3週間です。

エナメル質内部の色素タンパクを分解し短期間で確実なホワイトニング効果が出せます

短期間でのホワイトニング方法である反面、術後の痛みが出やすい傾向にあります。(大きな問題になることはほとんどありませんのでご安心ください。)

ホワイトニング直後は歯にトリートメント成分やフッ素が取り込みやすくなるため、当医院ではオフィスホワイトニング後に、毎回エナメルトリートメント処置とフッ素塗布を行っております。

ホームホワイトニング

ホームホワイトニング

ご自宅でご自身の管理で行っていただくホワイトニング方法です。専用のマウスピースと危険のない安全に使用して頂けるホームホワイトニング剤をお使い頂きます。歯科医院で歯の型取りを行い、患者様専用のマウスピースを製作します。

マウスピースにホームホワイトニング剤を入れて漂白する方法で、期間は約2週間程度です。白くなる実感は個人差がありますが、ホームホワイトニングは色の後戻りが少なく、全体的にムラなくキレイに白くなる方法になります

SETホワイトニング

SETホワイトニング
SETホワイトニング

オフィスホワイトニングとホームホワイトニングを併用して行っていくホワイトニング方法です

オフィスホワイトニングでエナメル質内部の色素タンパクを強く反応させて短期間で白くし、同時に色の後戻りが少ないと言われているホームホワイトニング併用して行っていただくと、より質の高いホワイトニング効果が期待できます。

当医院では2つのホワイトニング方法を併用していただくことをお薦めしています。

ホワイトニング料金表

オフィスホワイトニング 上下20本

歯科医院で行う高品質で強力なホワイトニング

1回 22,000円(税込)

2回 38,500円(税込)

3回 51,700円(税込)

ホームホワイトニング 上下

自宅でマウスピースのホワイトニング

33,000円(税込)

薬剤4本付き

Setホワイトニング

オフィスとホームをSetで行います

1回 49,500円(税込)

2回 64,900円(税込)

3回 77,000円(税込)

インターナルブリーチ
(ウォーキングブリーチ)

1回目   6,600円(税込)

2回目以降 2,200円(税込)

オフィスホワイトニングの流れ

ホワイトニングの治療の流れ

step1. カウンセリング

ホワイトニングの流れ、コース、費用の説明をします。

step2. 歯面清掃

ホワイトニングを行う部位の歯面の清掃をします。

step3. 術前チェック

ホワイトニング前に歯の状態と色をチェックし写真を撮ります。

step4. オフィスホワイトニング

歯に薬剤を塗布し15分ほど作用させます。これを2回繰り返します。

step5. エナメルトリートメント・フッ素塗布

ホワイトニング後にエナメルトリートメントしフッ素を浸透させます。

step6. 術後チェック

ホワイニング後に歯の状態や色をチェックします。

(オフィスホワイトニング 所要時間 約1時間)

※SETホワイトニングの場合には、当日の初めにホームホワイトニング用マウスピースの型取りをを行い、当日のうちにマウスピースとホームホワイトニング剤をお渡しすることも可能です。