医療法人社団ever

5DENTAL東京銀座

Map Icon
〒104-0061 東京都中央区銀座5-1 GINZA5 2F
Train Icon
東京メトロ銀座駅 C-1出口 直結
東京メトロ日比谷駅 A1口より 徒歩 2分
JR有楽町駅 銀座口より徒歩 4分
当院へのアクセス方法を確認
Arrow Icon
Crown

削らないラミネートベニア 施術症例紹介

インプラント治療

【症例集】削らないラミネートベニア

症例集 目次

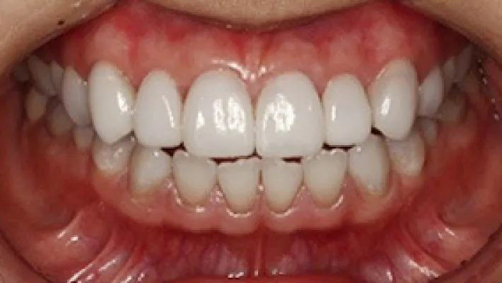
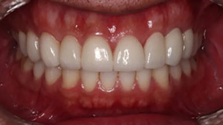
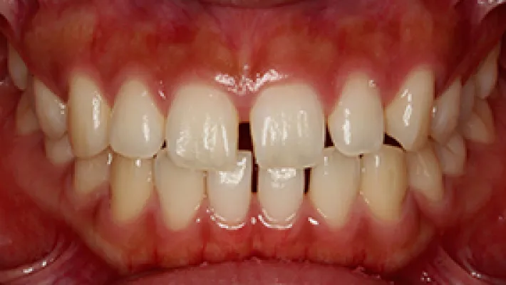
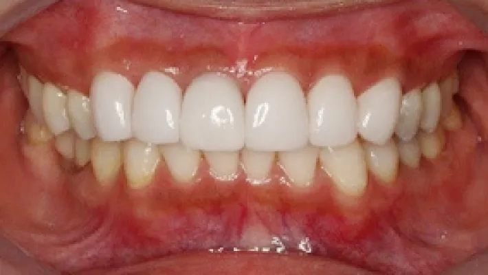
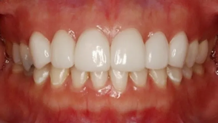
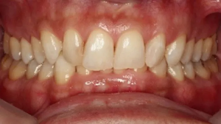
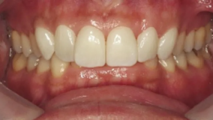
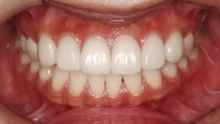
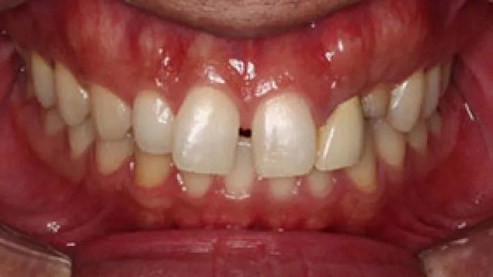
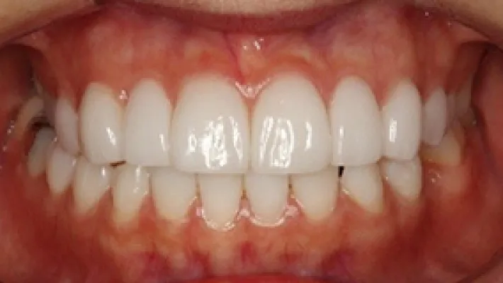
すきっ歯を改善したケース

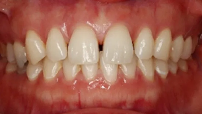
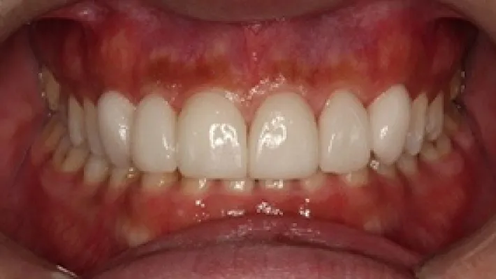
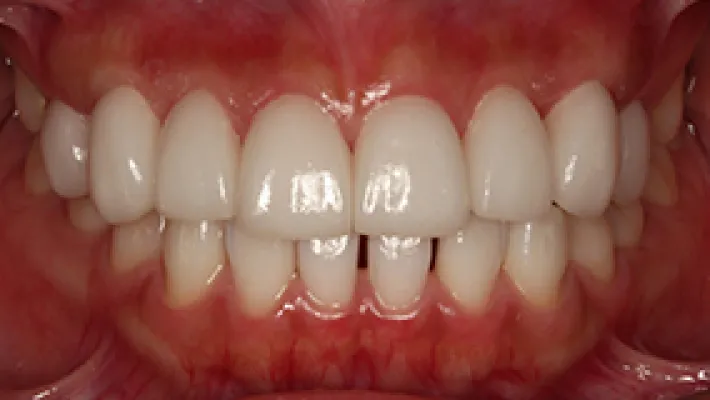
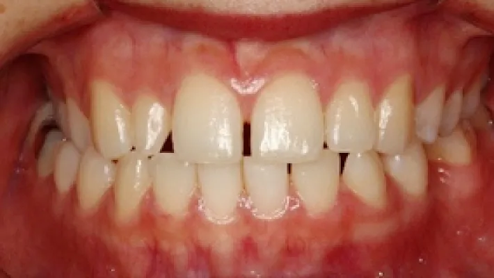
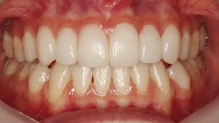
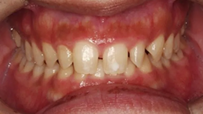
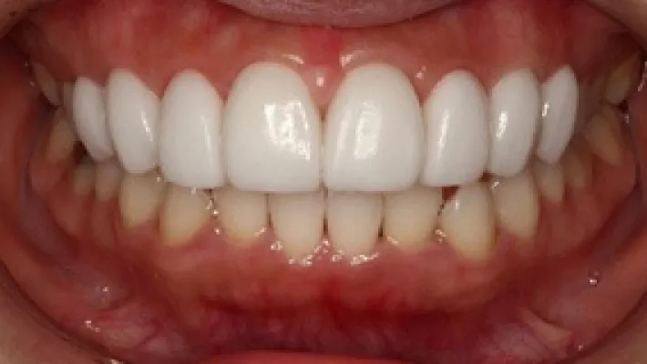
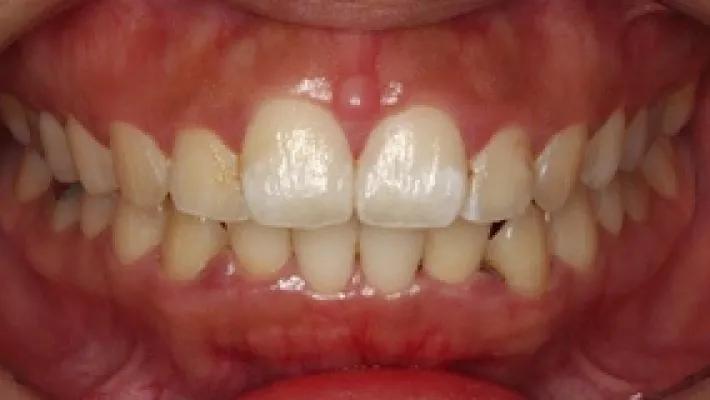
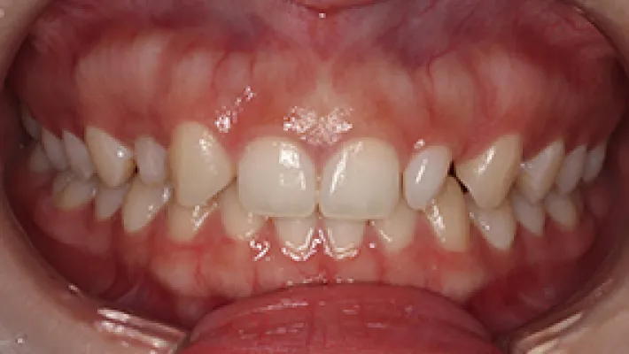
Case1. 上前歯6本 ラミネートベニア

術前

ラミネートベニア施術前1

術後

ラミネートベニア施術後1

術前

ラミネートベニア施術前2

術後

ラミネートベニア施術後2

削らないラミネートベニアで歯の形、すきっ歯を改善した症例です。

すきっ歯で前歯の軸が右に曲がっていました。
全体的にホワイトニングをしてから、削らないラミネートベニア6本を行いました。

リスクと副作用
ラミネートベニアはすきっ歯を埋めることはできますが、出っ歯や歯の出っ張りを引っ込めることはできません。出っ歯や歯の出っ張り部分を削れば、歯の形を修正することもできます。
状況によって術後に、疼痛・咬合時痛・冷水痛など生じることがあります。
治療費
375,000円(税込)
治療期間
3週間

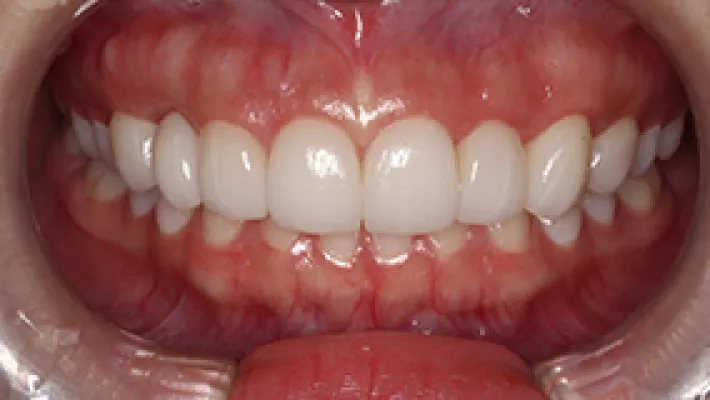
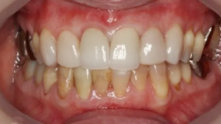
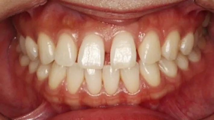
Case2. 上前歯6本 ラミネートベニア

術前

ラミネートベニア施術前1

術後

ラミネートベニア施術後1

術前

ラミネートベニア施術前2

術後

ラミネートベニア施術後2

削らないラミネートベニアで歯の大きさ・すきっ歯・歯の色を改善した症例です。

歯肉整形と削らないラミネートベニアを行い、曲がっていた歯列が左右対称に見えるように改善しました。

リスクと副作用
ラミネートベニアはすきっ歯を埋めることはできますが、出っ歯や歯の出っ張りを引っ込めることはできません。出っ歯や出っ張り部分の歯を削れば、歯の形を修正することもできます。
状況によって術後に、疼痛・咬合時痛・冷水痛などを生じる事があります。
治療費
435,000円(税込)
治療期間
1.5ヶ月

Case3. 上前歯6本 ラミネートベニア

術前

ラミネートベニア施術前1

術後

ラミネートベニア施術後1

術前

ラミネートベニア施術前2

術後

ラミネートベニア施術後2

削らないラミネートベニアで歯の大きさ・すきっ歯・乳歯・矮小歯を改善した症例です。

歯肉整形と削らないラミネートベニアを行い、曲がっていた歯列が左右対称に見えるように改善しました。

リスクと副作用
ラミネートベニアはすきっ歯を埋めることはできますが、出っ歯や歯の出っ張りを引っ込めることはできません。出っ歯や出っ張り部分の歯を削れば、歯の形を修正することもできます。
状況によって術後に、疼痛・咬合時痛・冷水痛などを生じる事があります。
治療費
575,000円(税込)
治療期間
2.5ヶ月

Case4. 上前歯6本 ラミネートベニア

術前

ラミネートベニア施術前

術後

ラミネートベニア施術後

削らないラミネートベニアで歯の色・すきっ歯・歯の形を改善した症例です。

お口元がとても美しくなりました。

リスクと副作用
削らないラミネートベニアは元の歯よりも少し厚く大きくなります。この症例のように歯を大きくすることはできますが、歯を小さくしたり出っ歯を治すことはできません。
状況によって術後に、疼痛・咬合時痛・冷水痛などを生じる事があります。
治療費
375,000円(税込)
治療期間
3週間

Case5. 上前歯8本 ラミネートベニア

術前

ラミネートベニア施術前

術後

ラミネートベニア施術後

歯肉整形と削らないラミネートベニアですきっ歯・歯並び・歯の形を改善した症例です。

全体的にホワイトニングをしてから、歯肉整形と削らないラミネートベニア8本を行いました。

リスクと副作用
ラミネートベニアは削って被せるセラミッククラウンに比べると強度や耐久性は劣ります。この症例でもラミネートベニアは支台の歯を削っていません。削らないラミネートベニアは削らないで接着するため、元の歯よりも厚く大きくなります。
状況によって術後に、疼痛・咬合時痛・冷水痛などを生じる事があります。
治療費
575,000円(税込)
治療期間
1.5ヶ月

Case6. 上前歯8本 ラミネートベニア

術前

ラミネートベニア施術前

術後

ラミネートベニア施術後

削らないラミネートベニアですきっ歯・歯並び・歯の形を改善した症例です。

全体的にホワイトニングをしてから、削らないラミネートベニア8本を行いました。

*当院の削らないラミネートベニアは、スーパーエナメルやルミネアーズではありません。

リスクと副作用
ラミネートベニアは削って被せるセラミッククラウンに比べると強度や耐久性は劣ります。この症例でもラミネートベニアは支台の歯を削っていません。
状況によって術後に、疼痛・咬合時痛・冷水痛などを生じる事があります。
治療費
575,000円(税込)
治療期間
1.5ヶ月

Case7. 上前歯6本 ラミネートベニア

術前

ラミネートベニア施術前

術後

ラミネートベニア施術後

削らないラミネートベニアで、すきっ歯・歯の色・歯の形を改善した症例です。

状態にもよりますが、すきっ歯は削らないラミネートベニアが最も得意とするケースの一つです。

*当院の削らないラミネートベニアは、スーパーエナメルやルミネアーズではありません。

リスクと副作用
削らないラミネートベニアは元の歯よりも少し厚く大きくなります。歯を小さくしたり出っ歯を治すことはできません。
状況によって術後に、疼痛・咬合時痛・冷水痛などを生じる事があります。
治療費
375,000円(税込)
治療期間
3週間

Case8. 上前歯4本 ラミネートベニア

術前

オールセラミック施術前2

術後

オールセラミック施術後2

削らないラミネートベニアですきっ歯を改善した症例です。

ラミネートベニアは少ない本数ではオススメしておらず、8本や6本などのまとまった本数で行うことで審美的に仕上げます。

リスクと副作用
削らないラミネートベニアは削らないで接着するため、元の歯よりも厚く大きくなります。
状況によって術後に、疼痛・咬合時痛・冷水痛などを生じる事があります。
治療費
255,000円(税込)
治療期間
3週間

Case9. 左上前歯3本 オールセラミッククラウンと5本ラミネートベニア+歯肉整形

術前

オールセラミック施術前1

術後

オールセラミック施術後1

術前

オールセラミック施術前2

術後

オールセラミック施術後2

左上前歯3本のオールセラミックブリッジと上中央前歯2本を含む5本のラミネートベニアを行った症例です。左上Cの残存乳歯は抜歯し、全体の歯肉整形と合わせてオールセラミックブリッジを行ました。上中央前歯はすきっ歯と歯並びを改善するために削ってからラミネートベニアを行いました。

リスクと副作用
病状によりますが治療期間が長くかかるケースもあります。下前歯にはラミネートベニアを行えません。ラミネートベニア前に下前歯や全体的なホワイトニングを行うようにしています。
状況によって術後に、疼痛・咬合時痛・冷水痛などを生じる事があります。
治療費
838,500円(税込)
治療期間
3ヶ月

自然なべニアを選択したケース

Case1. 上前歯6本 ラミネートベニア

術前

ラミネートベニア施術前

術後

ラミネートベニア施術後

削らないラミネートベニアで歯の色を改善したケースです。

海外の方なのですが、古いプラスチックベニアが劣化して黄ばみと変色がありました。古いベニアを除去し、周りの歯に合わせた自然な色で仕上げました。

リスクと副作用
ラミネートベニアは白くツヤツヤにはしやすいですが、透明感がある自然な雰囲気に仕上げる方が難しいです。
状況によって術後に、疼痛・咬合時痛・冷水痛などを生じる事があります。
治療費
375,000円(税込)
治療期間
3週間

Case2. 上前歯6本 ラミネートベニア

術前

ラミネートベニア施術前

術後

ラミネートベニア施術後

削らないラミネートベニアで歯の形を改善したケースです。

自然な色を希望だったので、白くない落ち着いた色で仕上げました。

リスクと副作用
ラミネートベニアは白くツヤツヤにはしやすいですが、透明感がある自然な雰囲気に仕上げる方が難しいです。
状況によって術後に、疼痛・咬合時痛・冷水痛などを生じる事があります。
治療費
495,000円(税込)
治療期間
3週間

白い色のベニアを選択したケース

Case1. 上前歯8本 ラミネートベニア

術前

ラミネートベニア施術前

術後

ラミネートベニア施術後

削らないラミネートベニアで歯の色・歯の形を改善した症例です。ラミネートベニアは前歯をキレイに華やかにすることができます。

お顔と調和しスマイルラインに沿った美しい仕上がりになりました。ラミネートベニアの色は明るい白を選ばれ、お口元の印象がすごく整いました。

リスクと副作用
削らないラミネートベニアは削らないので接着するので、元の歯よりも少し厚く大きくなります。この症例のように歯を大きくすることはできますが、歯を小さくしたり出っ歯は治せません。
状況によって術後に、疼痛・咬合時痛・冷水痛などを生じる事があります。
治療費
544,500円(税込)
治療期間
4週間

Case2. 上前歯8本 ラミネートベニア

術前

ラミネートベニア施術前

術後

ラミネートベニア施術後

削らないラミネートベニアで歯の色・形を改善した症例です。

歯の形を整えて大きくするために、歯肉整形も行いました。歯を大きくして真っ白にしたいという希望だったので、全体的にもホワイトニングをし、上前歯を白い色に仕上げました。

リスクと副作用
削らないラミネートベニアは歯を大きくすることができます。出っ歯を引っ込めたり歯を小さくすることはできません。
ラミネートベニアは透明感がある自然な雰囲気は難しいですが、白くツヤツヤに仕上げることはできます。
状況によって術後に、疼痛・咬合時痛・冷水痛などを生じる事があります。
治療費
575,000円(税込)
治療期間
1.5ヶ月

Case3. 上前歯6本 ラミネートベニア

術前

ラミネートベニア施術前1

術後

ラミネートベニア施術後1

術前

ラミネートベニア施術前2

術後

ラミネートベニア施術後2

削らないラミネートベニアで歯の色を改善した症例です。

右上1は失活歯(神経のない歯)で、グレーに変色していました。周りの歯はプラスチックの詰め物が変色していました。
このような支台の色にバラつきのあるケースでは、仕上がりの色を統一するためにあえてベニアの透明感を抑えて製作します。

*元々の歯の黄ばみや黒ずみはホワイトニングすることで、ある程度の色の改善ができます。

リスクと副作用
削って被せるクラウンに比べてラミネートベニアは、元々の歯の色や状態が仕上がりに大きく影響します。
状況によって術後に、疼痛・咬合時痛・冷水痛などを生じる事があります。
治療費
375,000円(税込)
治療期間
1.5ヶ月

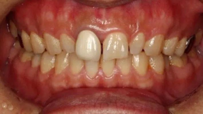
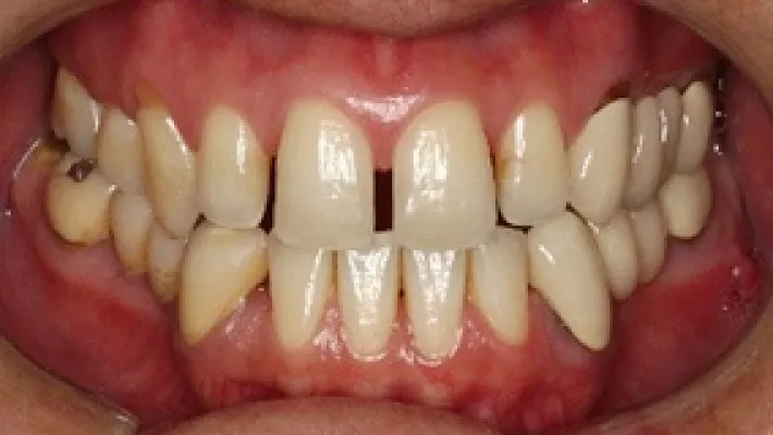
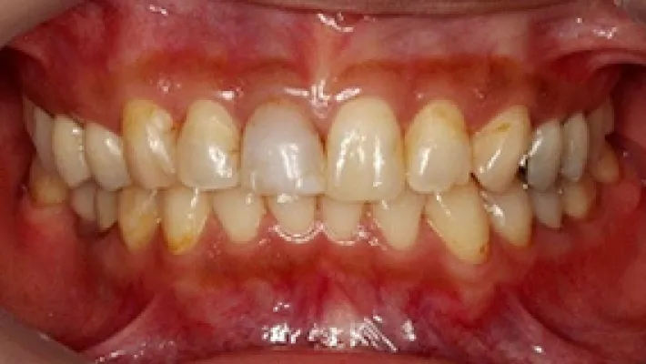
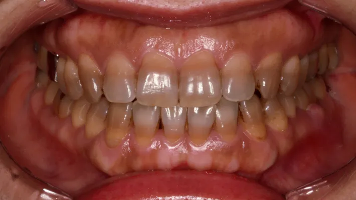
テトラサイクリン歯を改善したケース

Case1. 上前歯8本 ラミネートベニア

術前

テトラサイクリン歯施術前1

術後

テトラサイクリン歯施術後1

術前

テトラサイクリン歯施術前2

術後

テトラサイクリン歯施術後2

削らないラミネートベニアでテトラサイクリン歯(グレー系の歯)の色を改善した症例です。

事前にホワイトニングを行い、ご自身の歯の色をできるだけ改善してからラミネートベニアを行いました。
透明感を出すことで、周りの歯になじむ自然な仕上がりになりました。

リスクと副作用
テトラサイクリン歯の色調には個人差があります。グレー色が濃い方、帯状の模様が強い方は事前にホワイトニングを行い、歯の色をできるだけキレイにしてからラミネートベニアを行うようにしています。
テトラサイクリン歯でも不透明なベニアを選択すれば白くすることができます。この症例では、あえて透明なベニアで歯の色が透けることで自然と調和するようにしています。
状況によって術後に、疼痛・咬合時痛・冷水痛などを生じる事があります。
治療費
575,000円(税込)
治療期間
1.5ヶ月

Case2. 上前歯8本 ラミネートベニア

術前

テトラサイクリン歯施術前

術後

テトラサイクリン歯施術後

削らないラミネートベニアでテトラサイクリン歯(茶色系グレー系の歯)の色を改善した症例です。

事前にホワイトニングを行い、ご自身の歯の色をできるだけ改善してからラミネートベニアを行いました。
ラミネートベニアに少し透明感を出すことで、周りの歯になじむ自然な仕上がりになりました。

リスクと副作用
テトラサイクリン歯の色調には個人差があります。グレー色が濃い方、帯状の模様が強い方は事前にホワイトニングを行い、歯の色をできるだけキレイにしてからラミネートベニアを行うようにしています。
テトラサイクリン歯でも不透明なベニアを選択すれば白くすることができます。この症例では、あえて少し透明なベニアで歯の色が透けることで自然と調和するようにしています。
状況によって術後に、疼痛・咬合時痛・冷水痛などを生じる事があります。
治療費
575,000円(税込)
治療期間
1.5ヶ月

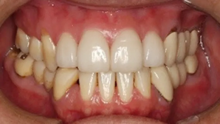
Case3. 上前歯4本ラミネートベニアと2本オールセラミッククラウン

術前

テトラサイクリン歯とクラウン施術前

術後

テトラサイクリン歯とクラウン施術後

テトラサイクリン歯の色と古いクラウンを改善した症例です。

下前歯や全体をホワイトニングしました。上前歯中央2本は元々のセラミッククラウンをオールセラミッククラウンにし、周りの4本を削らないラミネートベニアで色調を統一し改善しました。
オールセラミッククラウンと削らないラミネートベニアの組み合わせによる治療は当院で数多く行っています。

リスクと副作用
下前歯にはラミネートベニアを行えません。ホワイトニングかセラミッククラウンの選択肢になります。
状況によって術後に、疼痛・咬合時痛・冷水痛などを生じる事があります。
治療費
375,000円(税込)
治療期間
2ヶ月

歯肉整形 ガミースマイル改善のケース

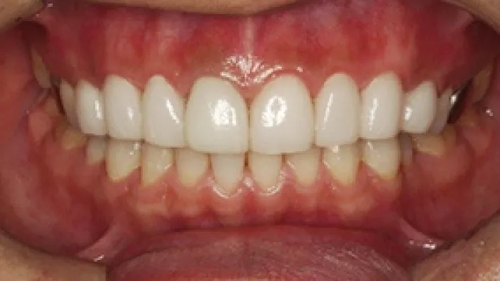
Case1. 上前歯8本 ラミネートベニア

術前

ガミースマイル施術前

術後

ガミースマイル施術後

削らないラミネートベニアで歯の色・歯の形・ガミースマイル(歯肉が見える)を改善した症例です。

歯肉整形を行うことで歯肉が見える範囲を少なくし、口元の印象が大きくに変わりました。

リスクと副作用
当院で行える歯肉整形は比較的に軽度なガミースマイルが対象です。口腔外科や美容外科で行っているような骨切り手術(Le Fort手術)や口唇粘膜を切開縫合する手術などは対応していません。
状況によって術後に、疼痛・咬合時痛・冷水痛などを生じる事があります。
治療費
575,000円(税込)
治療期間
1.5ヶ月

Case2. 上前歯4本 オールセラミッククラウン+歯肉整形

術前

オールセラミッククラウン+歯肉整形施術前

術後

オールセラミッククラウン+歯肉整形施術後

歯肉整形とオールセラミッククラウンでガミースマイルと前歯の審美性を改善した症例です。上前歯8本に歯肉整形をして、上前歯中央4本にオールセラミッククラウンを行いました。

リスクと副作用
当院で行える歯肉整形は比較的に軽度なガミースマイルが対象です。口腔外科や美容外科で行っているような骨切り手術(Le Fort手術)や口唇粘膜を切開縫合する手術などは対応していません。
状況によって術後に、疼痛・咬合時痛・冷水痛などを生じる事があります。
治療費
616,000円(税込)
治療期間
2ヶ月

Case3. 上前歯8本 ラミネートベニア

術前

ラミネートベニア+歯肉整形施術前

術後

ラミネートベニア+歯肉整形施術後

歯肉整形と削らないラミネートベニアで歯並び・歯の大きさを改善した症例です。歯肉整形と削らないラミネートベニアを行い、曲がっていた歯列が左右対称に見えるように改善しました。

リスクと副作用
当院で行える歯肉整形は比較的に軽度なガミースマイルが対象です。口腔外科や美容外科で行っているような骨切り手術(Le Fort手術)や口唇粘膜を切開縫合する手術などは対応していません。
状況によって術後に、疼痛・咬合時痛・冷水痛などを生じる事があります。
治療費
632,500円(税込)
治療期間
2ヶ月

Case4. 上前歯7本ラミネートベニアと1本オールセラミッククラウン

術前

ラミネートベニア+オールセラミッククラウン施術前

術後

ラミネートベニア+オールセラミッククラウン施術後

削らないラミネートベニアで歯の大きさ・歯の色を改善した症例です。

全体的なホワイトニングを行い、上前歯の歯肉整形をしています。オールセラミッククラウン1本と削らないラミネートベニア7本で歯の形を整えて大きくし審美的に仕上げました。
削らないラミネートベニアとオールセラミッククラウンの組み合わせは当院で数多く行っています。

*当院の削らないラミネートベニアは、スーパーエナメルやルミネアーズではありません。

リスクと副作用
下前歯にはラミネートベニアを行えません。ラミネートベニア前に下前歯や全体的なホワイトニングを行うようにしています。
状況によって術後に、疼痛・咬合時痛・冷水痛などを生じる事があります。
治療費
632,500円(税込)
治療期間
2ヶ月

Case5. 上前歯8本 ラミネートベニア

術前

ラミネートベニア+歯肉整形施術前

術後

ラミネートベニア+歯肉整形施術後

削らないラミネートベニアで歯の色・歯並び・ガミースマイル(歯肉が見える)を改善した症例です。

歯肉整形を行うことで歯肉が見える範囲を少なくし、口元の印象が変わりました。

リスクと副作用
当院で行える歯肉整形は比較的に軽度なガミースマイルが対象です。口腔外科や美容外科で行っているような骨切り手術(Le Fort手術)や口唇粘膜を切開縫合する手術などは対応していません。
状況によって術後に、疼痛・咬合時痛・冷水痛などを生じる事があります。
治療費
575,000円(税込)
治療期間
1.5ヶ月

Case6. 上前歯6本 ラミネートベニア

術前

ラミネートベニア+歯肉整形施術前

術後

ラミネートベニア+歯肉整形施術後

歯肉整形と削らないラミネートベニアで歯の形を改善した症例です。

左右対称にキレイにそろいました。

*この症例のような歯肉整形では痛みもほとんどありません。

リスクと副作用
ラミネートベニアは歯を大きくすることはできますが、出っ歯を引っ込めたり歯を小さくすることはできません。
状況によって術後に、疼痛・咬合時痛・冷水痛などを生じる事があります。
治療費
435,000円(税込)
治療期間
1.5ヶ月

Case7. 上前歯8本 ラミネートベニア

術前

ラミネートベニア+歯肉整形施術前

術後

ラミネートベニア+歯肉整形施術後

削らないラミネートベニアでガミースマイル(歯肉が見える)と歯の色・歯の形を改善した症例です。

歯肉整形とラミネートベニアで歯肉と歯の形を改善しました。口元からの印象が大きく変わりました。

リスクと副作用
ラミネートベニアは歯を大きくすることはできますが、出っ歯を引っ込めたり歯を小さくすることはできません。
当院で行える歯肉整形は比較的に軽度なガミースマイルが対象です。口腔外科や美容外科で行っているような骨切り手術(Le Fort手術)や口唇粘膜を切開縫合する手術などは対応していません。
状況によって術後に、疼痛・咬合時痛・冷水痛などを生じる事があります。
治療費
575,000円(税込)
治療期間
1.5ヶ月