医療法人社団ever

5DENTAL東京銀座

Map Icon
〒104-0061 東京都中央区銀座5-1 GINZA5 2F
Train Icon
東京メトロ銀座駅 C-1出口 直結
東京メトロ日比谷駅 A1口より 徒歩 2分
JR有楽町駅 銀座口より徒歩 4分
当院へのアクセス方法を確認
Arrow Icon
Gummy case

ガミースマイル治療 施術症例紹介

ガミースマイル治療

ガミースマイル治療

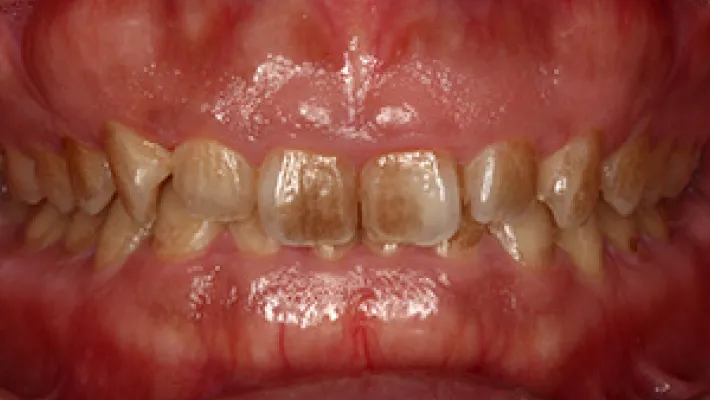
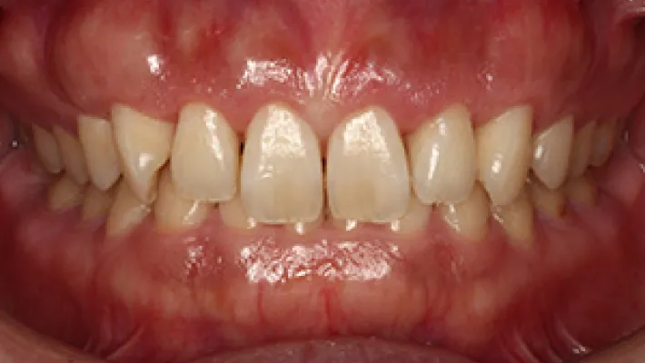
ガミースマイルの症例①

施術前
施術前
施術後
施術後
治療内容
歯肉整形8本+ラミネートべニア8本
治療期間
約6週間
治療費用
575,000円(税別)
治療詳細

口元からの歯や歯ぐき(歯肉)の見え方を、歯が小さく縦長さが短いのを、歯肉整形と削らないラミネートべニアにて改善しました。

前歯が小さいのとガミースマイルを歯肉整形で改善し、すきっ歯と歯の色・形を削らないラミネートべニアで白くして形を整えました。

ガミースマイルの症例②

施術前
施術前
施術後
施術後
治療内容
歯肉整形8本+ラミネートべニア8本
治療期間
約6週間
治療費用
575,000円(税別)
治療詳細

口元からの歯や歯ぐき(歯肉)の見え方や左右の傾きを、歯肉整形と削らないラミネートべニアにて改善しました。

前歯が小さいのと歯並びの傾きを歯肉整形で改善し、歯並びと歯の色・形を削らないラミネートべニアで整えました。

ガミースマイルの症例③

施術前
施術前
施術後
施術後
治療内容
歯肉整形(骨整形)8本
治療期間
約3週間
治療費用
80,000円(税別)
治療詳細

歯が小さく縦長さが短いのを、歯肉整形(骨整形)にて改善しました。

歯の着色と汚れをクリーニングにて改善し、歯肉炎で被っていた歯ぐき(歯肉)を歯肉と骨の整形にて改善しました。

この状態は術後3週間なのですがまだ歯肉は治癒の途中です。

ガミースマイルの症例④

施術前
施術前
施術後
施術後
治療内容
歯肉整形8本
治療期間
約2週間
治療費用
80,000円(税別)
治療詳細

口元からの歯や歯ぐき(歯肉)の見え方を、歯が小さく縦長さが短いのを、歯肉整形にて改善しました。

ガミースマイルの症例⑤

施術前
施術前
施術後
施術後
治療内容
歯肉整形8本
治療期間
約2週間
治療費用
80,000円(税別)
治療詳細

口元からの歯や歯ぐき(歯肉)の見え方を、歯が小さく縦長さが短いのを、歯肉整形にて改善しました。

歯が小さくガミースマイルだと可愛らしく見えてしまいやすいので、ガミースマイルの改善は男性にも特にお薦めです。

ガミースマイルの症例⑥

施術前
施術前
施術後
施術後
治療内容
歯肉整形8本+オールセラミッククラウン3本
治療期間
約5週間
治療費用
440,000円(税別)
治療詳細

口元からの歯並びや歯ぐき(歯肉)の見え方を、歯肉整形とオールセラミッククラウンにて改善しました。

ガミースマイルの症例⑦

施術前
施術前
施術後
施術後
治療内容
歯肉整形8本+ラミネートべニア8本
治療期間
約6週間
治療費用
575,000円(税別)
治療詳細

口元からの歯や歯ぐき(歯肉)の見え方歯を、歯が小さく縦長さが短いのを、歯肉整形と削らないラミネートべニアにて改善しました。

前歯が小さいのとガミースマイルを歯肉整形で改善し、歯の色・形を削らないラミネートべニアで整えました。

ガミースマイルの症例⑧

施術前
施術前
施術後
施術後
治療内容
歯肉整形8本+ラミネートべニア8本
治療期間
約6週間
治療費用
575,000円(税別)
治療詳細

口元からの歯並びや歯ぐき(歯肉)の見え方歯を、歯が小さくすきっ歯なのを、歯肉整形と削らないラミネートべニアにて改善しました。

前歯が小さいのとガミースマイルを歯肉整形で改善し、すきっ歯と歯の形や矮小歯を削らないラミネートべニアで形と歯並びを整えました。

ガミースマイルの症例⑨

施術前
施術前
施術後
施術後
治療内容
歯肉整形8本
治療期間
約2週間
治療費用
80,000円(税別)
治療詳細

口元からの歯や歯ぐき(歯肉)の見え方を、歯が小さく縦長さが短いのを、歯肉整形にて改善しました。

ガミースマイルの症例⑩

施術前
施術前
施術後
施術後
治療内容
歯肉整形8本
治療期間
約2週間
治療費用
80,000円(税別)
治療詳細

口元からの歯や歯ぐき(歯肉)の見え方を、歯が小さく縦長さが短いのを、歯肉整形にて改善しました。