医療法人社団ever

5DENTAL東京銀座

Map Icon
〒104-0061 東京都中央区銀座5-1 GINZA5 2F
Train Icon
東京メトロ銀座駅 C-1出口 直結
東京メトロ日比谷駅 A1口より 徒歩 2分
JR有楽町駅 銀座口より徒歩 4分
当院へのアクセス方法を確認
Arrow Icon
Small teeth

すきっ歯/矮小歯

すきっ歯/矮小歯

すきっ歯/矮小歯について

すきっ歯/矮小歯のイラスト

すきっ歯をセラミックの審美歯科で改善したい場合には、当院では削らないラミネートベニアをお薦めています。ラミネートベニアでは歯の表面に貼り付けるので出っ歯や八重歯の改善は難しいですが、すきっ歯や矮小歯の改善は得意です。

すきっ歯の隙間を埋めるためには歯を大きくするのでラミネートベニアの横幅が広くなってしまいます。そのため通常は歯の形やバランスをキレイにするために歯肉整形とラミネートベニアを併用をして歯の形のバランスを整えます。

矮小歯とは周りに比べて小さい歯のことで、側切歯(2番目の歯)に多く見られます。歯並びのバランスが崩れて見えたり、歯の隙間が目立ってしまったりします。

ラミネートベニアは小さい歯を大きくすることができます。

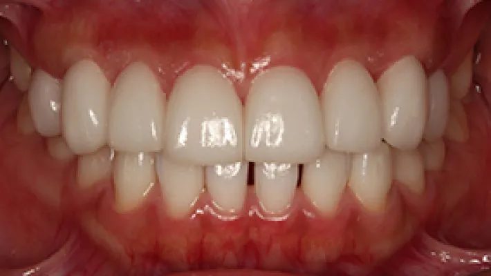
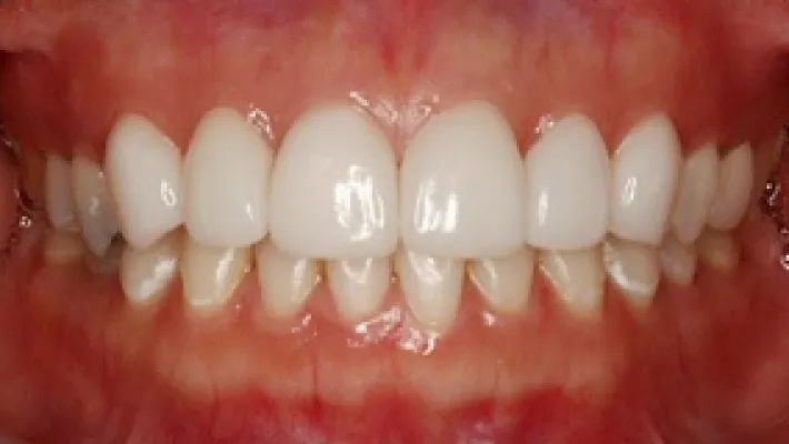
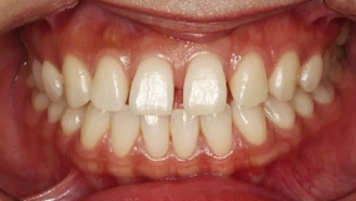
すきっ歯・矮小歯をラミネートベニアで改善したケース

上前歯6本 ラミネートベニア

施術前
施術前
施術後
施術後

削らないラミネートベニアで歯の色・すきっ歯・歯の形を改善した症例です。お口元がとても美しくなりました。

*削らないラミネートベニアは元の歯よりも少し厚く大きくなります。この症例のように歯を大きくすることはできますが、歯を小さくしたり出っ歯を治すことはできません。

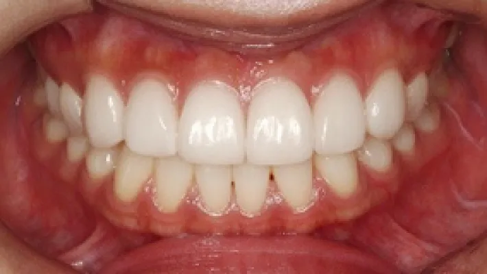
上前歯6本 ラミネートベニア

施術前
施術前
施術後
施術後
施術前
施術前
施術後
施術後

削らないラミネートベニアで歯の形、すきっ歯を改善した症例です。 すきっ歯で前歯の軸が右に曲がっていました。全体的にホワイトニングをしてから、削らないラミネートベニア6本を行いました。

*ラミネートベニアはすきっ歯を埋めることはできますが、出っ歯や歯の出っ張りを引っ込めることはできません。出っ歯や歯の出っ張り部分を削れば、歯の形を修正することもできます。

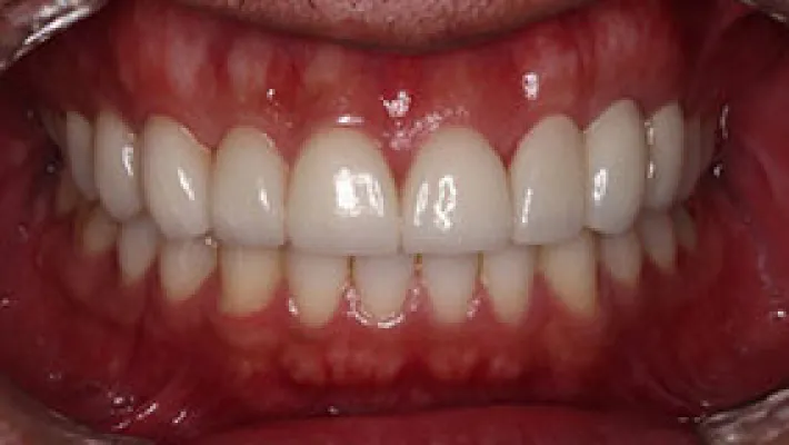
上前歯6本 ラミネートベニア

施術前
施術前
施術後
施術後
施術前
施術前
施術後
施術後

削らないラミネートベニアと歯肉整形ですきっ歯・矮小歯・歯の色を改善した症例です。歯肉整形と削らないラミネートベニアを行い、曲がっていた歯列が左右対称に見えるように改善しました。

*ラミネートベニアはすきっ歯を埋めることはできますが、出っ歯や歯の出っ張りを引っ込めることはできません。出っ歯や出っ張り部分の歯を削れば、歯の形を修正することもできます。

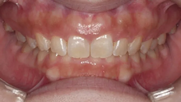
上前歯8本 ラミネートベニア

施術前
施術前
施術後
施術後
施術前
施術前
施術後
施術後

削らないラミネートベニアで歯の大きさ・すきっ歯・乳歯・矮小歯を改善した症例です。

歯肉整形と削らないラミネートベニアを行い、曲がっていた歯列が左右対称に見えるように改善しました。

*ラミネートベニアはすきっ歯を埋めることはできますが、出っ歯や歯の出っ張りを引っ込めることはできません。出っ歯や出っ張り部分の歯を削れば、歯の形を修正することもできます。

上前歯8本 ラミネートベニア

施術前
施術前
施術後
施術後

削らないラミネートベニアと歯肉整形ですきっ歯・歯並び・歯の形を改善した症例です。全体的にホワイトニングをしてから、歯肉整形と削らないラミネートベニア8本を行いました。

*ラミネートベニアは削って被せるセラミッククラウンに比べると強度や耐久性は劣ります。この症例でもラミネートベニアは支台の歯を削っていません。

*削らないラミネートベニアは削らないで接着するため、元の歯よりも厚く大きくなります。

上前歯8本 ラミネートベニア

施術前
施術前
施術後
施術後

削らないラミネートベニアですきっ歯・矮小歯を改善した症例です。 全体的にホワイトニングをしてから、歯肉整形と削らないラミネートベニア8本を行いました。

*ラミネートベニアは削って被せるセラミッククラウンに比べると強度や耐久性は劣ります。この症例でもラミネートベニアは支台の歯を削っていません。

*当院の削らないラミネートベニアは、スーパーエナメルやルミネアーズではありません。

上前歯6本 ラミネートベニア

施術前
施術前
施術後
施術後

削らないラミネートベニアで、すきっ歯・歯の色・歯の形を改善した症例です。

状態にもよりますが、すきっ歯は削らないラミネートベニアが最も得意とするケースの一つです。

*当院の削らないラミネートベニアは、スーパーエナメルやルミネアーズではありません。

左上前歯3本 オールセラミッククラウンと5本ラミネートベニア + 歯肉整形

施術前
施術前
施術後
施術後
施術前
施術前
施術後
施術後

左上前歯3本のオールセラミックブリッジと上中央前歯2本を含む5本のラミネートベニアを行った症例です。左上Cの残存乳歯は抜歯し、全体の歯肉整形と合わせてオールセラミックブリッジを行ました。上中央前歯はすきっ歯と歯並びを改善するために削ってからラミネートベニアを行いました。

*病状によりますが治療期間が長くかかるケースもあります。下前歯にはラミネートベニアを行えません。ラミネートベニア前に下前歯や全体的なホワイトニングを行うようにしています。

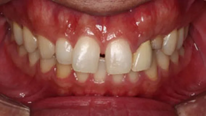
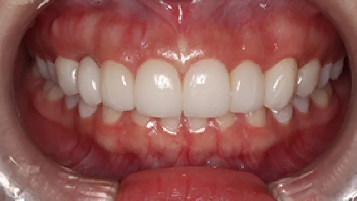
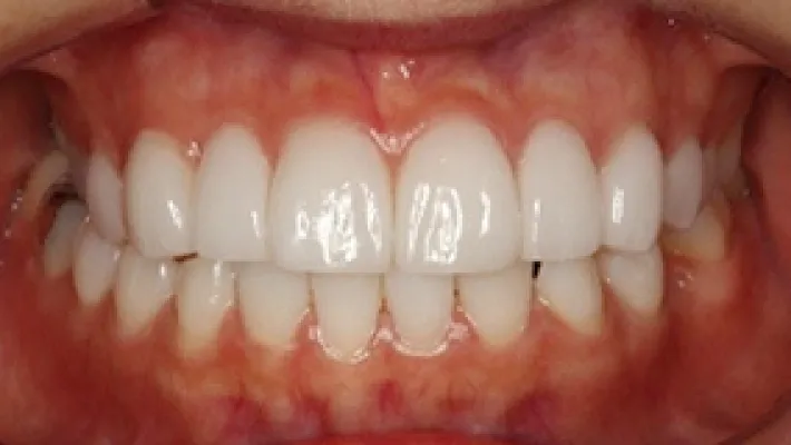
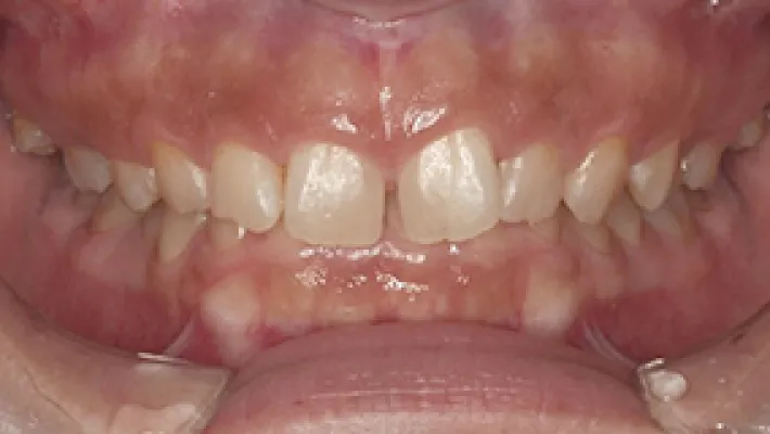
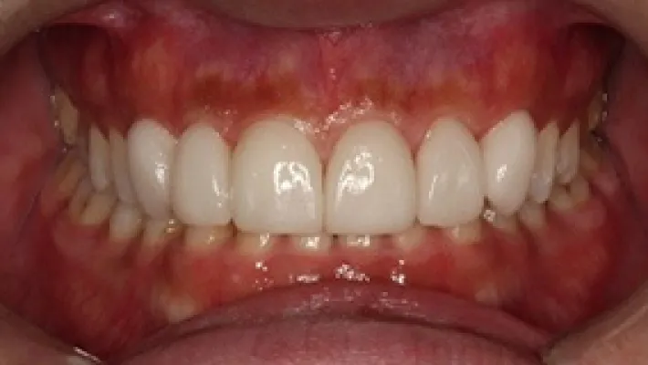
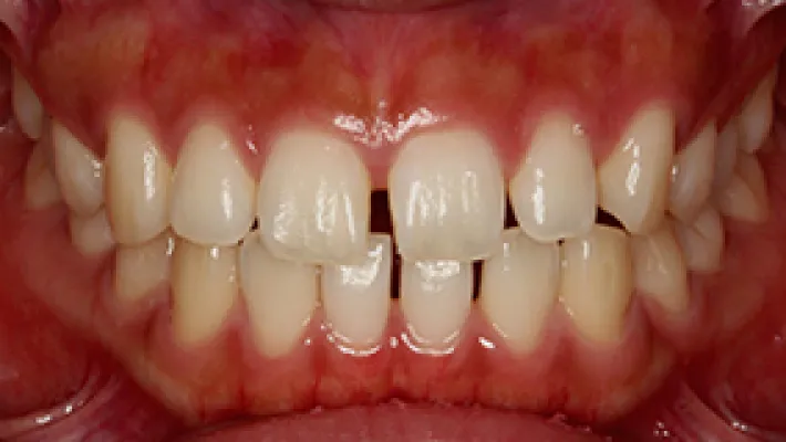
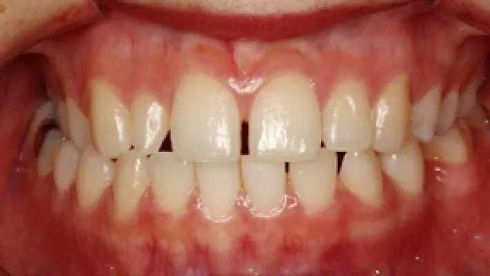
すきっ歯をマウスピース矯正で改善したケース

上下前歯すきっ歯 マウスピース矯正

施術前
施術前
施術後
施術後

マウスピース矯正の部分矯正で上下前歯のすきっ歯を改善した症例です。

状態にもよりますが、すきっ歯はマウスピース矯正の得意とするケースの一つです。

効率的な治療計画で最小限の期間と負担で矯正を行いました。

矯正治療の期間・方法
矯正治療の期間や方法は歯並びや顎骨などの状態によって大きく異なります。
矯正治療は歯や歯周組織などに必ずダメージがあります。
矯正治療のダメージを最小限にするために健康的で現実的な治療計画を提案します。
治療費
583,000
治療期間
6.5ヶ月

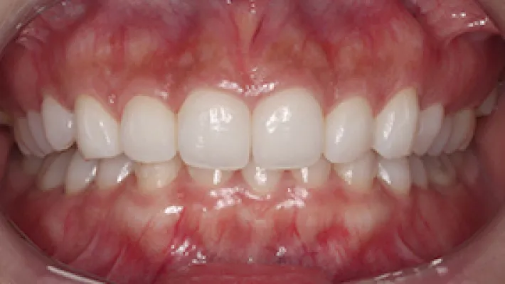
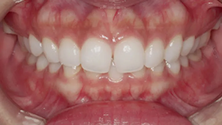
上下前歯すきっ歯 マウスピース矯正

施術前
施術前
施術後
施術後

マウスピース矯正の部分矯正で上下前歯のすきっ歯を改善した症例です。

状態にもよりますが、すきっ歯はマウスピース矯正の得意とするケースの一つです。

効率的な治療計画で最小限の期間と負担で矯正を行いました。

矯正治療の期間・方法
矯正治療の期間や方法は歯並びや顎骨などの状態によって大きく異なります。
矯正治療は歯や歯周組織などに必ずダメージがあります。
矯正治療のダメージを最小限にするために健康的で現実的な治療計画を提案します。
治療費
470,000
治療期間
6.5ヶ月

上下前歯すきっ歯 マウスピース矯正

施術前
施術前
施術後
施術後

マウスピース矯正の部分矯正で上下前歯のすきっ歯を改善した症例です。

状態にもよりますが、すきっ歯はマウスピース矯正の得意とするケースの一つです。

効率的な治療計画で最小限の期間と負担で矯正を行いました。

矯正治療の期間・方法
矯正治療の期間や方法は歯並びや顎骨などの状態によって大きく異なります。
矯正治療は歯や歯周組織などに必ずダメージがあります。
矯正治療のダメージを最小限にするために健康的で現実的な治療計画を提案します。
治療費
420,000
治療期間
4.5ヶ月