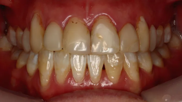
削らないラミネートベニアで歯の色を改善した症例です。右上1は失活歯(神経のない歯)で、グレーに変色していました。周りの歯はCRの充填物が変色・着色していました。
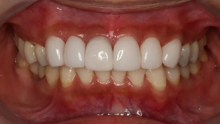
全体的にオフィスホワイトニングとホームホワイトニングを行ってからラミネートベニアを行いました。このような支台の色にバラつきのあるケースでは、仕上がりの色を統一するためにあえてラミネートベニアの透明感を抑えて製作します。
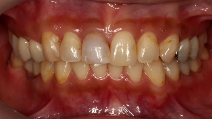
*CRの変色・着色や歯質の黄ばみ茶色や黒ずみはホワイトニングすることで色の改善ができます。
*削って被せるクラウンに比べてラミネートベニアは、元々の歯の色味や状態が仕上がりに大きく影響します。