医療法人社団ever

5DENTAL東京銀座

Map Icon
〒104-0061 東京都中央区銀座5-1 GINZA5 2F
Train Icon
東京メトロ銀座駅 C-1出口 直結
東京メトロ日比谷駅 A1口より 徒歩 2分
JR有楽町駅 銀座口より徒歩 4分
当院へのアクセス方法を確認
Arrow Icon
Back Ceramic Case

奥歯のセラミック治療 施術症例紹介

奥歯セラミック治療

奥歯のセラミック治療

奥歯のセラミックの症例①

奥歯セラミック治療施術前 施術前
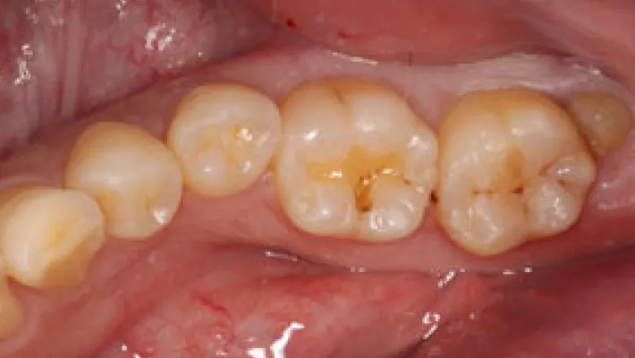
奥歯セラミック治療施術後 施術後
対象箇所
下顎6番
治療内容
セラミックインレー 1本
治療期間
2週間
治療費用
60,000円(税別)

奥歯のセラミックの症例②

奥歯セラミック治療施術前 施術前
奥歯セラミック治療施術後 施術後
奥歯セラミック治療施術前 施術前
対象箇所
下顎7番
治療内容
セラミックインレー 1本
治療期間
2週間
治療費用
60,000円(税別)

奥歯のセラミックの症例③

奥歯セラミック治療施術前 施術前
奥歯セラミック治療施術後 施術後
対象箇所
下顎6番 下顎7番
治療内容
下顎6番:セラミックインレー1本 下顎7番オールセラミッククラウン1本
治療期間
下顎7番:2週間 下顎7番:2週間
治療費用
下顎7番:60,000円(税別) 下顎7番:80,000円(税別)