Front Ceramic Case
前歯のセラミック治療 施術症例紹介
前歯のセラミック治療
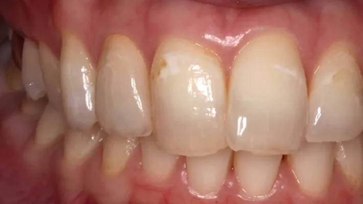
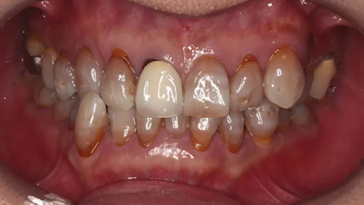
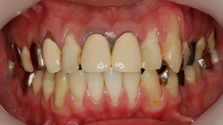
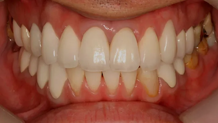
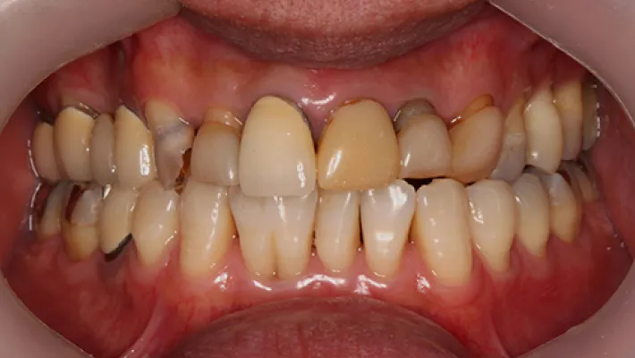
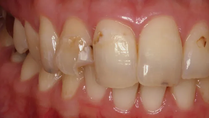
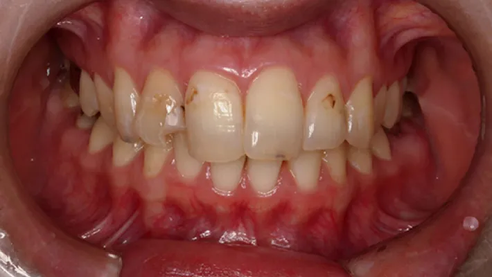
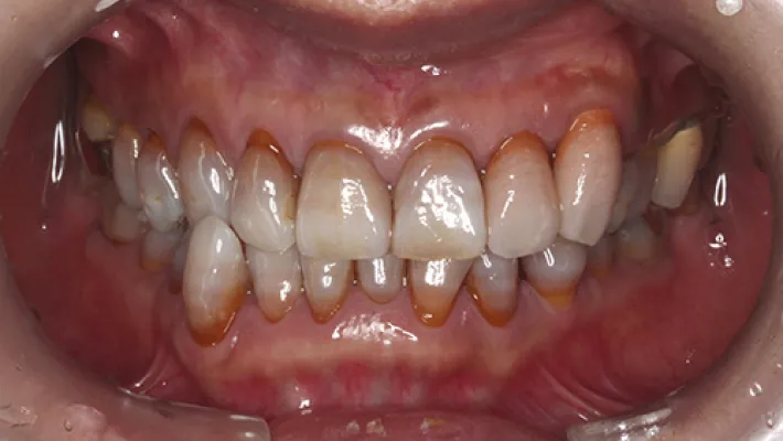
前歯のセラミックの症例①
施術前
施術後
施術前
施術後
対象箇所
右上2本
治療内容
オールセラミッククラウン1本
治療期間
約2週間
治療費用
160,000円(税別)
リスクと副作用
オールセラミッククラウンは歯を削って被せる方法です。
上前歯中央(中切歯)の審美修復は色や形に高い完成度が求められます。色の修正や入直しで回数をかける場合があります。
状況によって施術後に、腫痛・咬合時痛・冷水痛などが生じる事があります。
上前歯中央(中切歯)の審美修復は色や形に高い完成度が求められます。色の修正や入直しで回数をかける場合があります。
状況によって施術後に、腫痛・咬合時痛・冷水痛などが生じる事があります。
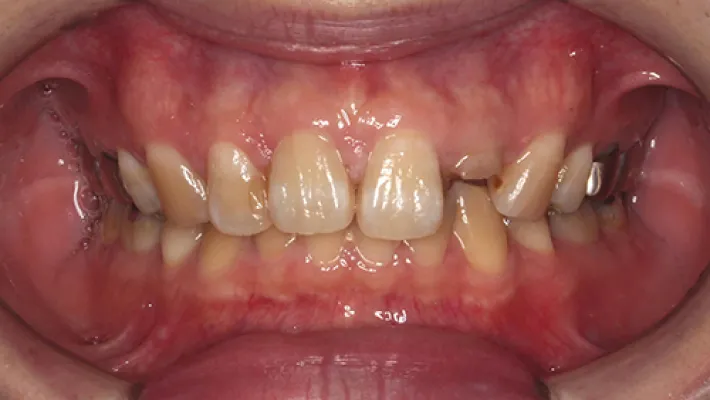
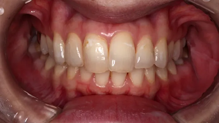
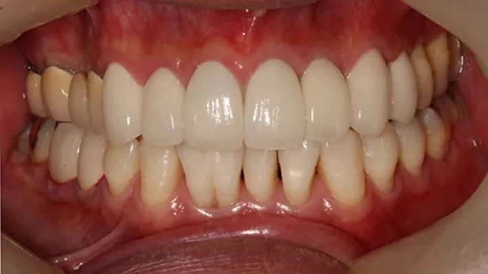
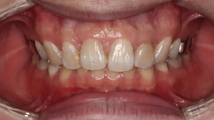
前歯のセラミックの症例②
施術前
施術後
対象箇所
右上1←、→左上12
治療内容
オールセラミッククラウン3本
治療期間
約4週間
治療費用
360,000円(税別)
リスクと副作用
オールセラミッククラウンは歯を削って被せる方法です。
上前歯中央(中切歯)の審美修復は色や形に高い完成度が求められます。色の修正や入直しで回数をかける場合があります。
状況によって施術後に、腫痛・咬合時痛・冷水痛などが生じる事があります。
上前歯中央(中切歯)の審美修復は色や形に高い完成度が求められます。色の修正や入直しで回数をかける場合があります。
状況によって施術後に、腫痛・咬合時痛・冷水痛などが生じる事があります。
前歯のセラミックの症例③
施術前
施術後
対象箇所
←右上1、→左上23
治療内容
オールセラミッククラウン3本
治療期間
約4週間
治療費用
360,000円(税別)
リスクと副作用
オールセラミッククラウンは歯を削って被せる方法です。
上前歯中央(中切歯)の審美修復は色や形に高い完成度が求められます。色の修正や入直しで回数をかける場合があります。
状況によって施術後に、腫痛・咬合時痛・冷水痛などが生じる事があります。
上前歯中央(中切歯)の審美修復は色や形に高い完成度が求められます。色の修正や入直しで回数をかける場合があります。
状況によって施術後に、腫痛・咬合時痛・冷水痛などが生じる事があります。
前歯のセラミックの症例④
施術前
施術後
対象箇所
右上3〜左上3
治療内容
オールセラミッククラウン6本
治療期間
約4週間
治療費用
720,000円(税別)
リスクと副作用
オールセラミッククラウンは歯を削って被せる方法です。
上前歯中央(中切歯)の審美修復は色や形に高い完成度が求められます。色の修正や入直しで回数をかける場合があります。
状況によって施術後に、腫痛・咬合時痛・冷水痛などが生じる事があります。
上前歯中央(中切歯)の審美修復は色や形に高い完成度が求められます。色の修正や入直しで回数をかける場合があります。
状況によって施術後に、腫痛・咬合時痛・冷水痛などが生じる事があります。
前歯のセラミックの症例⑤
施術前
施術後
対象箇所
上9本、下5本
治療内容
オールセラミッククラウン14本
治療期間
約3ヶ月
治療費用
1,680,000円(税別)
リスクと副作用
オールセラミッククラウンは歯を削って被せる方法です。
上前歯中央(中切歯)の審美修復は色や形に高い完成度が求められます。色の修正や入直しで回数をかける場合があります。
状況によって施術後に、腫痛・咬合時痛・冷水痛などが生じる事があります。
上前歯中央(中切歯)の審美修復は色や形に高い完成度が求められます。色の修正や入直しで回数をかける場合があります。
状況によって施術後に、腫痛・咬合時痛・冷水痛などが生じる事があります。
前歯のセラミックの症例⑥
施術前
施術後
対象箇所
左上2→
治療内容
オールセラミッククラウン1本
治療期間
約3週間
治療費用
120,000円(税別)
リスクと副作用
オールセラミッククラウンは歯を削って被せる方法です。
上前歯中央(中切歯)の審美修復は色や形に高い完成度が求められます。色の修正や入直しで回数をかける場合があります。
状況によって施術後に、腫痛・咬合時痛・冷水痛などが生じる事があります。
上前歯中央(中切歯)の審美修復は色や形に高い完成度が求められます。色の修正や入直しで回数をかける場合があります。
状況によって施術後に、腫痛・咬合時痛・冷水痛などが生じる事があります。
前歯のセラミックの症例⑦
施術前
施術後
対象箇所
上8本
治療内容
オールセラミッククラウン8本
治療期間
約3週間
治療費用
960,000円(税別)
リスクと副作用
オールセラミッククラウンは歯を削って被せる方法です。
上前歯中央(中切歯)の審美修復は色や形に高い完成度が求められます。色の修正や入直しで回数をかける場合があります。
状況によって施術後に、腫痛・咬合時痛・冷水痛などが生じる事があります。
上前歯中央(中切歯)の審美修復は色や形に高い完成度が求められます。色の修正や入直しで回数をかける場合があります。
状況によって施術後に、腫痛・咬合時痛・冷水痛などが生じる事があります。
前歯のセラミックの症例⑧
施術前
施術後
対象箇所
上4本
治療内容
オールセラミッククラウン4本
治療期間
約4週間
治療費用
480,000円(税別)
リスクと副作用
オールセラミッククラウンは歯を削って被せる方法です。
上前歯中央(中切歯)の審美修復は色や形に高い完成度が求められます。色の修正や入直しで回数をかける場合があります。
状況によって施術後に、腫痛・咬合時痛・冷水痛などが生じる事があります。
上前歯中央(中切歯)の審美修復は色や形に高い完成度が求められます。色の修正や入直しで回数をかける場合があります。
状況によって施術後に、腫痛・咬合時痛・冷水痛などが生じる事があります。
前歯のセラミックの症例⑨
施術前
施術後
対象箇所
右上2←、左上2→
治療内容
オールセラミッククラウン2本
治療期間
約3週間
治療費用
240,000円(税別)
リスクと副作用
オールセラミッククラウンは歯を削って被せる方法です。
上前歯中央(中切歯)の補綴物は色や形に高い完成度が求められます。色の修正や作り直しで回数をかける場合があります。
状況によって術後に、疼痛・咬合時痛・冷水痛など生じる事があります。
上前歯中央(中切歯)の補綴物は色や形に高い完成度が求められます。色の修正や作り直しで回数をかける場合があります。
状況によって術後に、疼痛・咬合時痛・冷水痛など生じる事があります。
前歯のセラミックの症例⑩
施術前
施術後
対象箇所
上7本、右下←2本
治療内容
オールセラミッククラウン9本
治療期間
約6週間
治療費用
1,080,000円(税別)
リスクと副作用
オールセラミッククラウンは歯を削って被せる方法です。
上前歯中央(中切歯)の補綴物は色や形に高い完成度が求められます。色の修正や作り直しで回数をかける場合があります。
状況によって術後に、疼痛・咬合時痛・冷水痛など生じる事があります。
上前歯中央(中切歯)の補綴物は色や形に高い完成度が求められます。色の修正や作り直しで回数をかける場合があります。
状況によって術後に、疼痛・咬合時痛・冷水痛など生じる事があります。