医療法人社団ever

5DENTAL東京銀座

Map Icon
〒104-0061 東京都中央区銀座5-1 GINZA5 2F
Train Icon
東京メトロ銀座駅 C-1出口 直結
東京メトロ日比谷駅 A1口より 徒歩 2分
JR有楽町駅 銀座口より徒歩 4分
当院へのアクセス方法を確認
Arrow Icon
Crown

オールセラミック治療/ジルコニア治療

インプラント治療

オールセラミック治療とジルコニア治療

高強度のジルコニアの登場と接着歯学の発達で歯科治療の幅が広がりオールセラミック治療などの様々な新しい治療が生まれました。
今では当たり前になっているオールセラミックの治療もジルコニアの登場以前は強度不足など問題点も多くありました。
セラミックは清潔で衛生的で、生体親和性(人体との調和)が良いので、歯周組織の管理が非常に有利です。これはレジンや金属の材料ではできないとても素晴らしい特徴です。

ジルコニアが登場したことでオールセラミック治療の信頼性は大きく向上し、現在のように普及するまでになりました。
そしてジルコニアもオールセラミックの治療も当初よりもさらに改善され良いものになっています。

我々はオールセラミック治療を当初より扱ってきていますが、進化したオールセラミック治療はここ数年ではかなり自信をもってお薦めできるようになっていますし、日々進化するこれらの技術を取り入れながら臨床を行っています。
削らないラミネートベニア(NonPrepVeneer)なども進化したオールセラミック治療と接着歯学による新しい技術です。

削らないラミネートベニアへ

オールセラミックとジルコニア症例

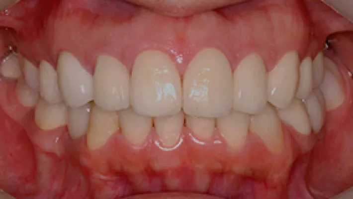
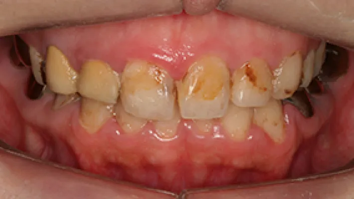
Case1. 左上1 オールセラミッククラウン + ホワイトニング

オールセラミック施術前 施術前
オールセラミック施術後 施術後

左上1は失活歯(神経のない歯)で変色していました。全体的にホワイトニングしてから、左上1の変色歯をオールセラミッククラウン1本で改善しました。全体的に統一感と清潔感のある仕上りにしました。

リスクと副作用
オールセラミッククラウンは歯を削って被せる方法です。
上前歯中央(中切歯)の補綴物は色や形に高い完成度が求められます。色の修正や作り直しで回数をかける場合があります。
状況によって術後に、疼痛・咬合時痛・冷水痛など、生じることがあります。
治療費
240,900円(税込)
治療期間
1.5ヶ月

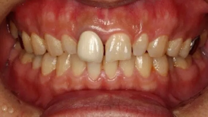
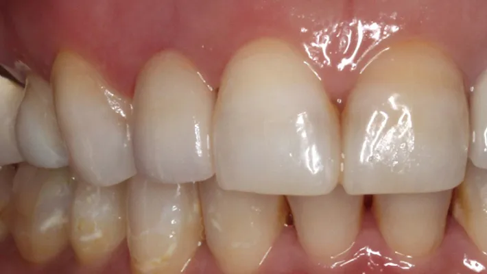
Case2. 右上2 オールセラミッククラウン

オールセラミック施術前 施術前
オールセラミック施術後 施術後

右上2の古いセラミッククラウンに対して、歯肉の処置とオールセラミッククラウン1本にて審美的に改善しました。

リスクと副作用
オールセラミッククラウンは歯を削って被せる方法です。
上前歯中央(中切歯)の補綴物は色や形に高い完成度が求められます。色の修正や作り直しで回数をかける場合があります。
状況によって術後に、疼痛・咬合時痛・冷水痛など、生じることがあります。
治療費
176,000円(税別)
治療期間
3週間

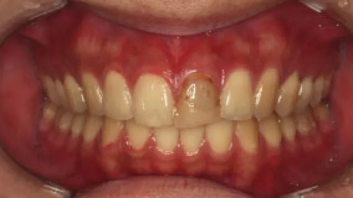
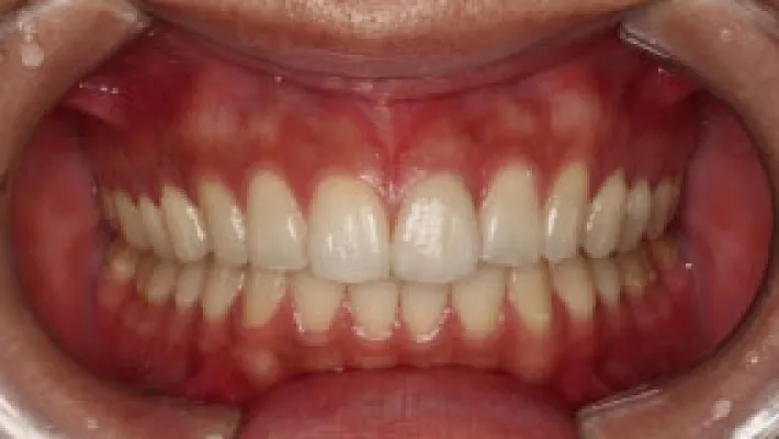
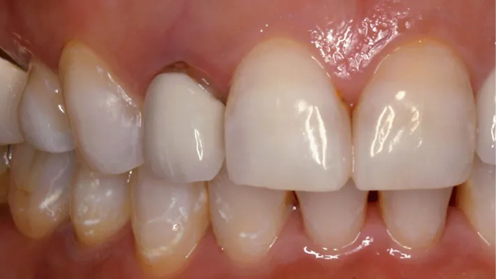
Case3. 上前歯4本オールセラミッククラウン + 歯肉整形

オールセラミック施術前 施術前
オールセラミック施術後 施術後

セラミッククラウンが古くなり周りの歯肉も炎症を持っていました。歯肉の処置をしてオールセラミッククラウンで審美的に改善しました。
オールセラミッククラウンは透明感と自然感が優れた質の高い製品を使用しています。

リスクと副作用
オールセラミッククラウンは歯を削って被せる方法です。前歯の補綴物は色や形に高い完成度が求められます。色の修正や作り直しで回数をかける場合があります。
虫歯や歯周病に問題がある場合には、審美歯科以外にそれらの治療を行う必要があります。
状況によって術後に、疼痛・咬合時痛・冷水痛など、生じることがあります。
治療費
704,000円(税込)
治療期間
2ヶ月

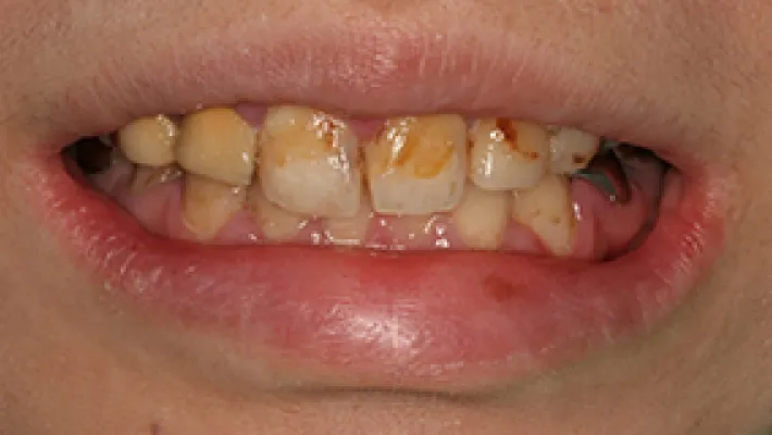
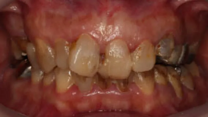
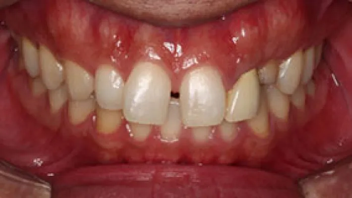
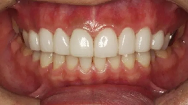
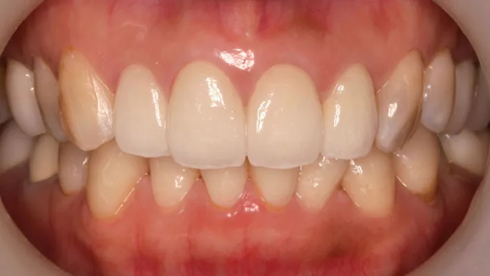
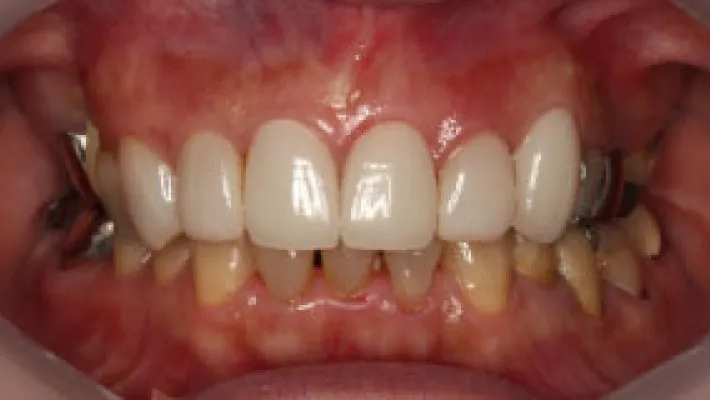
Case4. 上前歯8本 オールセラミッククラウン 他

オールセラミック施術前 施術前
オールセラミック施術後 施術後
オールセラミック施術前 施術前
オールセラミック施術後 施術後

上前歯8本のオールセラミッククラウンの審美歯科と全体の虫歯治療、インプラント2本および咬合治療を行いました。審美歯科だけでなく虫歯や歯肉炎や咬合の治療も行っています。下前歯はクリーニングとホワイトニングのみでキレイにしました。

リスクと副作用
虫歯や歯周病や咬合に問題がある場合には、審美歯科以外にそれらの治療を行う必要があります。
病状によりますが治療期間が長くかかるケースもあります。
状況によって術後に、疼痛・咬合時痛・冷水痛など、生じることがあります。
治療費
1,837,000円(税込)
治療期間
5ヶ月

Case5. 上前歯3本ラミネートベニアと3本セラミッククラウン + 歯肉整形

ラミネートベニア・セラミック施術前 施術前
ラミネートベニア・セラミック施術後 施術後

歯肉整形を行った上で、削らないラミネートベニアとセラミッククラウンで歯並びを改善した症例です。上中央前歯2本と左上3番目の歯は虫歯治療が必要だったのでセラミッククラウンで、その他3本は削らないラミネートベニアで治しました。

リスクと副作用
削らないラミネートベニアでは出ている歯を引っ込めることはできません。
削らないラミネートベニアは審美処置であり虫歯治療ではありません。虫歯治療はセラミッククラウンで行います。
虫歯や歯周病に問題がある場合には、審美歯科以外にそれらの治療を行う必要があります。
状況によって術後に、疼痛・咬合時痛・冷水痛など、生じることがあります。
治療費
676,500円(税込)
治療期間
2ヶ月

Case6. 上前歯1本オールセラミッククラウンと7本ラミネートベニア + 歯肉整形

ラミネートベニア・セラミック施術前 施術前
ラミネートベニア・セラミック施術後 施術後

削らないラミネートベニアで歯の大きさ・歯の色を改善した症例です。全体的なホワイトニングを行い、上前歯の歯肉整形をしています。オールセラミッククラウン1本と削らないラミネートベニア7本で歯の形を整えて大きくし審美的に仕上げました。オールセラミッククラウンと削らないラミネートベニアの組み合わせは当院で数多く行っています。

*当院の削らないラミネートベニアは、スーパーエナメルやルミネアーズではありません。

リスクと副作用
下前歯にはラミネートベニアを行えません。ラミネートベニア前に下前歯や全体的なホワイトニングを行うようにしています。
状況によって術後に、疼痛・咬合時痛・冷水痛など、生じることがあります。
治療費
698,500円(税込)
治療期間
2ヶ月

Case7. 上前歯中央2本 オールセラミッククラウン + ホワイトニング

オールセラミック施術前 施術前
オールセラミック施術後 施術後

右上1は失活歯(神経のない歯)で変色し、上中央前歯2本がかなり前突していました。全体的にホワイトニングしてから、上中央前歯2本をオールセラミッククラウン改善しました。歯を小さくしたいとのことで2本のサイズも小さめにしました。歯並びを改善して自然な色と仕上がりに改善できました。

リスクと副作用
オールセラミッククラウンは歯を削って被せる方法です。 上前歯中央(中切歯)の補綴物は色や形に高い完成度が求められます。色の修正や作り直しで回数をかける場合があります。
状況によって術後に、疼痛・咬合時痛・冷水痛など、生じることがあります。
治療費
264,000円(税込)
治療期間
1.5ヶ月

Case8. 左上前歯3本 オールセラミッククラウンと5本ラミネートベニア + 歯肉整形

オールセラミック・ラミネートベニア施術前 施術前
オールセラミック・ラミネートベニア施術後 施術後
オールセラミック・ラミネートベニア施術前 施術前
オールセラミック・ラミネートベニア施術後 施術後

左上前歯3本のオールセラミックブリッジと上中央前歯2本を含む5本のラミネートベニアを行った症例です。左上Cの残存乳歯は抜歯し、全体の歯肉整形と合わせてオールセラミックブリッジを行ました。上中央前歯はすきっ歯と歯並びを改善するために削ってからラミネートベニアを行いました。

リスクと副作用
病状によりますが治療期間が長くかかるケースもあります。下前歯にはラミネートベニアを行えません。ラミネートベニア前に下前歯や全体的なホワイトニングを行うようにしています。
状況によって術後に、疼痛・咬合時痛・冷水痛など、生じることがあります。
治療費
838,500円(税込)
治療期間
3ヶ月

ジルコニア

ジルコニア

新しいセラミック材料です。
ジルコニウムの化合物で二酸化ジルコニア(ZrO2)です。人体に安全とされていて、医科では人工股関節などに応用されています。
これからのオールセラミック治療においてe.maxとともに多くの場面で応用できます。

当院ではセラミッククラウンでは主にこのジルコニアを用いています。

特徴

  • 白い(歯の色)の歯科材料の中では最も強度がある
  • レジンや金属に比べ、衛生的で生体親和性が良いので、歯周病の管理が有利
  • 高強度ゆえの硬さなどの物性は以前よりもかなり改善されている
  • 以前は単色で透明感がなかったが、色調や透明感は以前よりもかなり改善されている
  • ラミネートベニア、セラミッククラウン、セラミックブリッジやセラミックインレーを高強度で行うことができる
  • 他のセラミックに比べても、接着や適合の取り扱いが難しい面がある
  • セラミックの中でも高価

審美歯科では他のセラミック材料と組み合わせて使うのですが、ジルコニアは明度の高い白くキレイな色調を表現することができ、審美歯科においてもとても重要な材料です。

治療の内容
詰め物、被せ物などの材料として用います。
リスク・副作用
長期間の使用や過度な衝撃がかかった時に脱離や破折を起こすことがあります。
状況によって術後に、疼痛・咬合時痛・冷水痛など、生じることがあります。
治療期間の目安
2~4週間程度
治療回数の目安
2~3回程度
治療費総額の目安
詰め物で60,000円
被せ物で80,000~160,000円程度

IPS e.maxプレス(Ivoclar Vivadent)

IPS e.maxプレス

新しいセラミック材料です。
二ケイ酸リチウムガラスセラミックです。これからのオールセラミック治療においてジルコニアとともに多くの場面で応用できます。

特徴

  • 従来のガラスセラミックに比べて、高強度で割れづらい
  • レジンや金属に比べ、衛生的で生体親和性が良いので、歯周病の管理が有利
  • 天然歯に近い耐摩耗性(柔らかさ)を持ち、咬み合わせに馴染ませやすい
  • 透明感があり自然な審美性を再現できる
  • 従来のガラスセラミックより強度に優れ、ラミネートベニア、セラミッククラウンやセラミックインレーでより強度を期待できる
治療の内容
詰め物、被せ物などの材料として用います。
リスク・副作用
長期間の使用や過度な衝撃がかかった時に脱離や破折を起こすことがあります。
状況によって術後に、疼痛・咬合時痛・冷水痛など、生じることがあります。
治療期間の目安
2~4週間程度
治療回数の目安
2~3回程度
治療費総額の目安
詰め物で60,000円
被せ物で120,000~160,000円程度

ハイブリッドセラミック

レジン(歯科治療用プラスチック)にセラミック粒子をハイブリッド(混ぜ合わせ)した材料です。
レジンとセラミックの中間的な性質を持っています。

特徴

  • オールセラミックに比べて、摩耗しやすく柔らかい
  • レジンなので、長期間では劣化や汚染がある
  • レジンなので、歯肉とは馴染みにくい
  • レジンなので、経年的に汚染され臭いがしやすい
  • 歯に近い白色や透明色にすることができる。
  • レジンなのでオールセラミックよりも接着や適合の取り扱いがしやすい
  • オールセラミックに比べて、比較的に安価格
治療の内容
詰め物、被せ物などの材料として用います。
リスク・副作用
長期間の使用や過度な衝撃がかかった時に脱離や破折を起こすことがあります。経年的に変色や汚染が起こりやすい欠点があります。
状況によって術後に、疼痛・咬合時痛・冷水痛など、生じることがあります。
治療期間の目安
2~4週間程度
治療回数の目安
2~3回程度
治療費総額の目安
詰め物で40,000円
被せ物で60,000円程度

料金表

オールセラミッククラウンA 前歯用 176,000円(税込)
オールセラミッククラウンB 前歯用 132,000円(税込)
オールセラミッククラウンC 奥歯用 88,000円(税込)

治療期間は約2~3週間程度です。
当院では信頼性の高いジルコニアを主に用いています。
前歯でもジルコニアを主に用いますが、材料を組み合わせることでより審美的に仕上げます。
ジルコニアは強度と耐久性に優れていて、欠けたり割れたりがほとんどありません。
セラミッククラウンは歯を削って被せるので、ラミネートベニアに比べると歯並びの修正や審美性が有利に改善できます。
ラミネートベニアとは違い1本や2本のみでも審美的に治療できます。
ラミネートベニアやセラミックインレーに比べると歯の切削量が多くなります。
前歯の審美歯科技工は国内でもトップランクのラボと連携して行うことができます。(オールセラミッククラウンA)